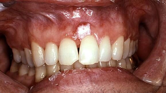
LONDON – Researchers from Queen Mary, University of London, have developed a new gene test that detects precancerous cells in patients with mouth lesions. They think that the test could offer the possibility of early and less invasive treatments, improving the quality of life and chance of survival of mouth cancer patients significantly.
According to the researchers, 30 per cent of mouth lesions turn into cancers. To date, however, there has been no test available to detect accurately which lesions might become cancerous for early treatment.
The newly developed quantitative Malignancy Index Diagnostic System measures the levels of 16 genes that are highly expressed in many cancer types. Their mRNA expression levels are translated via a diagnostic algorithm into a metric scoring system, which quantifies the risk of the lesion becoming cancerous.
In preliminary studies of 299 hospital patients in Norway and the UK, the test detected 91 to 94 per cent of cancer cases from 359 head and neck tissue specimens.
Compared with conventional histopathology, the new test is less invasive because it requires only a 1 to 2 mm piece of tissue and can provide results within less than three hours. Histopathology involves tissue biopsy and pathological examination, may take up to a week to yield results, and detects mouth cancer at a much later stage.
“Detecting cancer early, coupled with appropriate treatment can improve patients’ outcomes significantly, reduce mortality and alleviate long-term public health care costs,” said Dr Muy-Teck Teh, lead investigator and inventor of the test.
In addition, the researchers demonstrated that the system could be used for diagnosing cancer in patients with suspicious skin and vulva lesions, illustrating its potential clinical use for other cancer types.
The diagnostic test requires further clinical investigation to evaluate its long-term benefits for oral cancer patients, the researchers conclude.
The study was published online on 4 October in the International Journal of Cancer ahead of print.
LONDON, UK: Seeking to improve oral cancer detection and treatment, researchers from Queen Mary University of London have developed the first polymerase ...
LIVERPOOL – Owing to the absence of a uniform testing standard within the NHS, researchers have analysed a new test developed to classify ...
DURHAM, N.C., U.S./BIRMINGHAM, U.K.: Cancers that occur in the back of the mouth or in the upper throat are difficult to spot and, as a result, are often ...
LONDON, UK: An international team of researchers has developed a breath test that could help doctors diagnose the early signs of oesophageal and gastric ...
ABERDEEN, Scotland: Head and neck cancer is a highly debilitating disease that has profound consequences for oral function, nutrition, communication and ...
LEEDS, England: Improving oral healthcare for patients who have completed treatment for head and neck cancer remains a persistent challenge in the UK. Many ...
MANCHESTER – A woman from Manchester has sued her dentist for failing to diagnose her oral cancer. The 58-year-old was referred to the dentist for ...
LONDON, UK/AMSTERDAM, Netherlands: A test that measures the levels of five chemicals in the breath has shown promising results for the detection of cancers ...
Engineers have developed a new device that can warn patients about early risks of tooth decay from diseases such as gingivitis and periodontitis.
MANCHESTER, UK: According to figures from the Faculty of Dental Surgery of the Royal College of Surgeons of England, four in five children under 2 years of ...
Live webinar
Tue. 12 May 2026
6:00 pm UTC (London)
Live webinar
Thu. 14 May 2026
5:00 pm UTC (London)
Live webinar
Thu. 14 May 2026
7:00 pm UTC (London)
Prof. Hani Ounsi DDS PhD FICD
Live webinar
Tue. 19 May 2026
4:00 pm UTC (London)
Live webinar
Tue. 19 May 2026
6:00 pm UTC (London)
Prof. Dr. med. dent. Ivo Krejci
Live webinar
Wed. 20 May 2026
12:00 pm UTC (London)
Dr. Graham Carmichael BDSc (Hons), DClinDent (Pros), FRACDS, Dr. Robert Gottlander DDS
Live webinar
Wed. 20 May 2026
2:00 pm UTC (London)
To post a reply please login or register