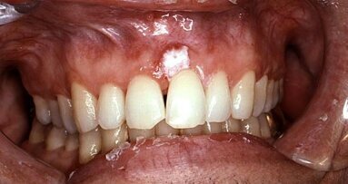
LIVERPOOL – Owing to the absence of a uniform testing standard within the NHS, researchers have analysed a new test developed to classify oropharyngeal cancers as human papillomavirus (HPV) positive or negative. Through the new test, which can be carried out in clinical settings, mouth cancer patients could be offered less intensive treatment with fewer side-effects.
Researchers from the University of Liverpool and the Newcastle University evaluated the new RNA-based in situ hybridisation test that was developed by Advanced Cell Diagnostics, a manufacturer of cell- and tissue-based diagnostic tests for cancer management from Hayward, California, USA.
They screened 79 tumour samples for HPV using different techniques and found that the RNA scope test was as accurate and reliable as other more complex laboratory tests in classifying the cancer as either HPV positive or negative, which would enable clinicians to offer the appropriate treatment.
According to the researchers, the risk of death from HPV-positive oropharyngeal cancer is 50 to 80 per cent lower than from HPV-negative tumours. However, these patients are usually younger and may face long-term treatment-related side-effects. Thus, they hope that this new method will help to improve treatment choices and survival rates significantly.
As the test showed both promising analytical and prognostic performance in preliminary tests, the researchers think that it could be adopted as an international standard test for oropharyngeal squamous cell carcinoma in clinical practice.
“It has the potential to benefit NHS patients because it will help to ensure that they get the most appropriate treatment for their cancer,” said Andrew Schache, study author and researcher at the University of Liverpool’s School of Dentistry.
According to a study published in December 2011 in the British Journal of Cancer, an estimated 5,100 cases of cancer in the UK in 2010 were linked to HPV infection.
This week, the findings of the present study are being presented at the eighth National Cancer Research Institute Cancer Conference, a forum that showcases British and international cancer research. The conference runs until 7 November in Liverpool.
The study was published in the July issue of the Head and Neck Pathology journal.
LONDON, UK: Seeking to improve oral cancer detection and treatment, researchers from Queen Mary University of London have developed the first polymerase ...
LONDON – Researchers from Queen Mary, University of London, have developed a new gene test that detects precancerous cells in patients with mouth ...
LEEDS, England: Improving oral healthcare for patients who have completed treatment for head and neck cancer remains a persistent challenge in the UK. Many ...
BRUSSELS, Belgium/RUGBY, UK: At the recent 2019 European Cancer Summit of the European CanCer Organisation (ECCO), the ECCO Oncopolicy Committee agreed on a...
DURHAM, N.C., U.S./BIRMINGHAM, U.K.: Cancers that occur in the back of the mouth or in the upper throat are difficult to spot and, as a result, are often ...
LONDON, UK: An international team of researchers has developed a breath test that could help doctors diagnose the early signs of oesophageal and gastric ...
BELFAST, UK: The findings of a new study suggest that regular use of aspirin could cut head and neck cancer risk by almost a quarter. The researchers found ...
DERBY, UK: A study conducted by University of Derby researchers has confirmed previous findings of a link between certain lifestyle choices and a higher ...
RUGBY – Although the number of cancers linked to the human papillomavirus (HPV) has increased in recent years, especially among men, HPV vaccination ...
BRISTOL, UK: Researchers at the University of Bristol have developed a new technology that could increase protection against anti-bacterial and anti-fungal ...
Live webinar
Tue. 12 May 2026
6:00 pm UTC (London)
Live webinar
Thu. 14 May 2026
5:00 pm UTC (London)
Live webinar
Thu. 14 May 2026
7:00 pm UTC (London)
Prof. Hani Ounsi DDS PhD FICD
Live webinar
Tue. 19 May 2026
4:00 pm UTC (London)
Live webinar
Tue. 19 May 2026
6:00 pm UTC (London)
Prof. Dr. med. dent. Ivo Krejci
Live webinar
Wed. 20 May 2026
12:00 pm UTC (London)
Dr. Graham Carmichael BDSc (Hons), DClinDent (Pros), FRACDS, Dr. Robert Gottlander DDS
Live webinar
Wed. 20 May 2026
2:00 pm UTC (London)
To post a reply please login or register