Whether we like it or not, we are embracing the digital era in our brave new world. Many dental practices are now becoming paper-free—a digital innovation—and even using tablet computers to record patient details and medical histories. We are continually surprised by the rising age of the technologically savvy patient, particularly those of a certain generation who perhaps we assume would be less so than the perceived iPhone generation.
This change in the patient demographic and attitude towards technology is filtering through to us in the dental profession. The nuts and bolts of implant dentistry tends to lend itself more readily to the digital revolution of dentistry in the UK and now globally. Many practitioners opposed to or reluctant to embrace it are actually being influenced by it through shifting workflows in dental laboratories, even where more traditional clinical practices are followed chairside. Quite often, wet impressions are poured and stone models are scanned to produce STL files for laboratories to process during crown and bridge unit manufacturing.
As an implant clinician, one does not have to invest in a CT scanner or chairside intra-oral scanner—there are ways that other centres and laboratories can provide these services. However, having these tools at one’s disposal greatly increases one’s efficiency and means one is not reliant on external services for one’s patients.
“If you fail to plan—then you plan to fail”—Benjamin Franklin
So how do we begin the implant digital workflow? Successful implant treatment begins with thorough case assessment and planning of the proposed restoration. This is important for all cases, not just what we deem the complex ones. Even the most experienced implant clinician can miss a potential treatment planning hazard, especially during a busy day. Accurate study model casts are an essential part of this; however, we can now use intra-oral scans preoperatively to begin the digital workflow. We take a scan rather than impressions to form digital models. Our laboratory can then use these to create digital wax-ups of proposed treatment outcomes.
Fig. 1: Dental Wings intraoral scanner.
Fig. 6: CodiagnostiX surgical guide.
Fig. 7: Printed guide and sleeves.
Fig. 8: Postoperative radiograph of implant placement.
Fig. 9: Surgical placement of LL67 implants.
Fig. 10: Scanbodies in situ.
Fig. 11: Tissue level implants.
Fig. 12: Crowns on printed model.
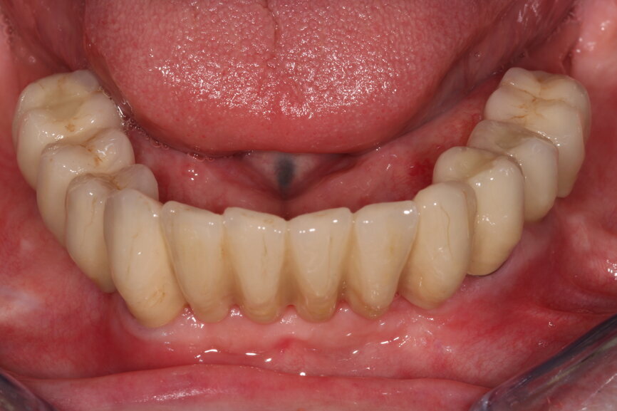
Fig. 13: Implant crowns in situ.
Fig. 14: Scanbodies with composite flow material to increase scan accuracy.
Fig. 15: Verification jig locked in situ to gain implant passivity.
Fig. 16: Createch framework fit surface.
Fig. 17: Finished screw-retained bridge in situ.
We are routinely used to 2-D radiographic imaging techniques in dentistry, but with the availability and access to CBCT scanning devices now, we are able to assess bone quantity and quality of proposed implant surgical sites. With ever-reducing doses of 3-D imaging and improving accuracy, we are able to use CBCT scans, combined with clever software packages such as coDiagnostiX (Dental Wings), to plan safe and accurate implant placement and restoration. We are able to preoperatively plan precise implant placement with safe surgical margins away from important anatomical structures, such as the inferior alveolar nerve or maxillary sinus. From this, we are then able to design and either mill or print a surgical guide to use for precise implant placement.
Even with assisted surgery or guided surgery, there are sometimes certain restrictions that prevent us from achieving the most ideal implant placement, such as this case shown where posterior access in the second molar region was reduced, so achieving the perfect parallel was extremely difficult.
There are fully guided systems available that allow for absolutely precise implant placement, but these are fraught with complexities and should be reserved for experienced clinicians. The accuracy of surgical guides should not be used to make up for a lack of surgical competency however.
There are many factors to be considered when using surgical guides, including whether the guide is tooth-, soft tissue- or bone-supported. Tooth-supported allows the greatest degree of accuracy.
If tooth-supported,
- are there windows in the guide that direct full seating of the guide?
- are the teeth that support exact positioning of the guide mobile? Any mobility adds a degree of inaccuracy.
- is the guide made from a direct intra-oral scan or a scan of a study model? If scanning a study model, is this an accurate stone model representation? Otherwise, there is the risk of poor seating and inaccuracy of the guide.
If soft tissue-supported, mobility completely negates any accuracy of the guide, so it should only be used for a pilot drill and then a more conventional surgical protocol adopted.
If bone-supported,
- raising of a very large surgical flap is likely.
- it is very difficult to ensure accurate full seating of a bone-supported guide in the precise planned position and this relies upon external fixation.
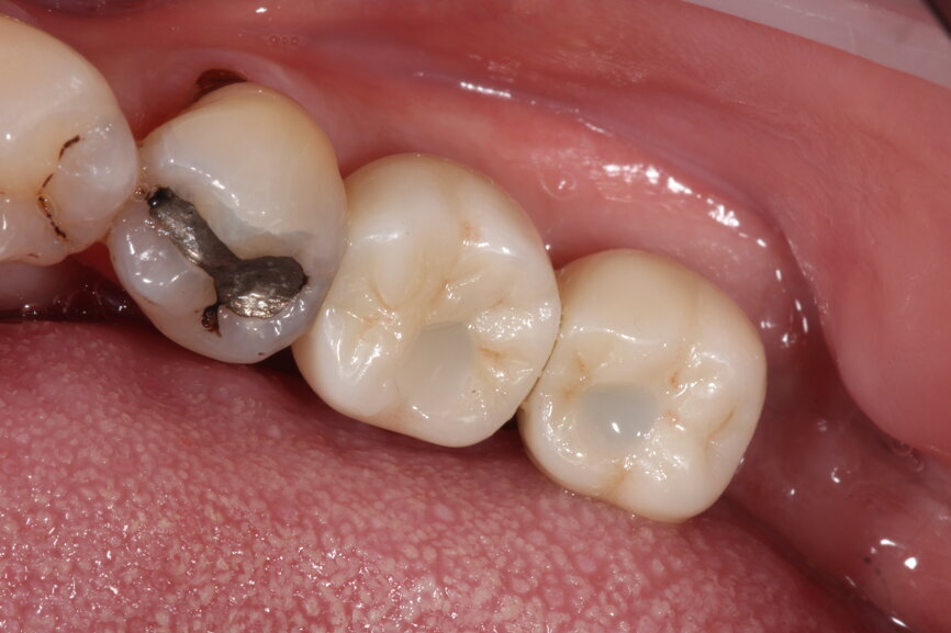
Once the implants are placed in situ and fully integrated, we then have a choice of conventional wet impression techniques versus digital intra-oral scanning. For the majority of cases, intra-oral scanning is extremely predictable and reliable—more so than conventional techniques—with milled (and lately printed) models having excellent properties and less accumulation of processing errors. However, deeply placed implants relative to adjacent teeth with deep contact points are very difficult to scan and pick up. Straumann tissue level implants offer a very straightforward restorative platform to scan from.
With greater numbers of implants and fewer teeth to act as reference points, intra-oral scanning becomes less reliable—particularly across the arch—so we need to exercise caution and be aware of its limitations. We have used composite flow stuck to the soft tissue to increase reference points for our scanners, increasing their ability to stitch images more accurately together. With this in mind, we cannot assume the scan is accurate and any framework fabricated would be non-passive; therefore, we must use other methods to verify the scan’s accuracy. We have found locking temporary abutments within a composite framework intra-orally the easiest and most reproducible way to do this. It then allows us to design and mill a truly passive framework by Createch and a temporary acrylic bridge.
Conclusion
There are many opportunities to opt in and out of using technology regarding the digital implant workflow. For anyone considering capital investment, the most important question to ask is, how will or can this improve the outcomes I provide to my patients, and then determine whether that warrants the expenditure. Too often are we subjected to sales pitches of the next biggest thing by company sales representatives and gadgets and gizmos end up by the wayside.
Acknowledgements
Andy Morton and Ian Murch, the fantastic laboratory technicians at Borough Crown and Bridge that I work closely with.
To post a reply please login or register