LEIPZIG, Germany: A structured approach to treatment planning for advanced clinical cases utilising modern digital technologies is the topic of a webinar that will be presented by the Dental Tribune Study Club on 20 March. The online course is free of charge and can be viewed from any computer. Participants will have the opportunity to earn a continuing education credit.
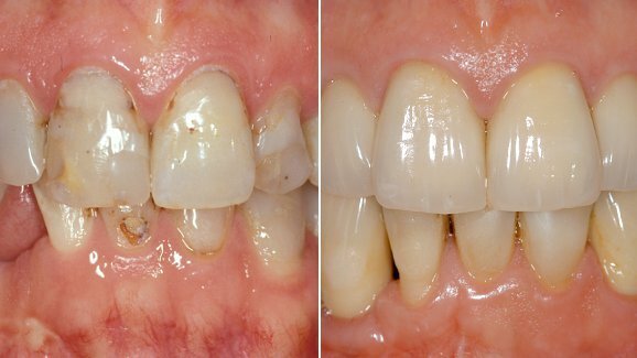
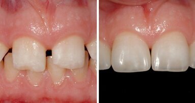
In the webinar, speaker Dr Ronald Jung will guide the audience through the established planning process for a complex clinical case utilising the well-developed structure and the innovative case planning tool of Dental Campus, an e-learning platform. This complex case will consider the many clinical aspects of bone and soft-tissue regeneration, and implant placement, as well as prosthetic aspects and material selection.
Participants will be able to follow the details of the process and expand their own treatment planning capabilities. Furthermore, an introduction to the Dental Campus case planning tool will allow the audience to learn about and practise treatment planning in the future on the Dental Campus platform independent of tutor guidance. During the webinar, participants will be able to pose questions to the speaker via a chat window.
The one-hour webinar will enable the audience to apply a systematic approach to the treatment planning for complex patient cases. It will be broadcast live on Friday, 20 March, from 09.30 p.m. BST. Participants will be able to earn a continuing education credit by completing a multiple-choice questionnaire on the topic discussed.
Registration for the webinar, titled "Implant dentistry: a structured approach to treatment planning of advanced clinical cases utilizing modern digital technologies" is now open on the DT Study Club website, www.dtstudyclub.com.
LEIPZIG, Germany: A structured approach to treatment planning for advanced clinical cases utilising modern digital technologies is the topic of a webinar ...
BASEL, Switzerland: Webinars are a brilliant way to keep up to date with the latest developments in dentistry and gain continuing education (CE) credits. ...
At EAO, Henry Schein is currently showcasing its new digital dental solution, ConnectDental, to dental professionals in Europe. In this short interview, the...
LEIPZIG, Germany: The improvement in the population’s oral health overall and the growing demand among patients for dental aesthetics and tissue ...
BLACKBURN, UK: Infection control is a critical part of any practice and the advancement in technology continues to improve the safety of patients and staff....
LONDON, UK: Dr Ali Nankali is a clinical senior lecturer at Barts and the London School of Medicine and Dentistry at Queen Mary University of London and the...
The speed of the proliferation of new technologies is breathtaking. Although initially disruptive to our traditional practices, technologies can, and have, ...
Formal complaints are one of the most stressful aspects of clinical dental practice and are widely recognised as a significant source of professional ...
LUCERNE, Switzerland: In his invitation to the sixth Swiss Biomaterial Days congress, chairman Prof. Walter Lückerath emphasised the obligation of the...
Biofilm formation around implants is the main aetiology of peri-implant inflammation. In a free webinar on Tuesday, 21 April, dentist Dr Viktoriia Gabal ...
Live webinar
Thu. 14 May 2026
5:00 pm UTC (London)
Live webinar
Thu. 14 May 2026
7:00 pm UTC (London)
Prof. Hani Ounsi DDS PhD FICD
Live webinar
Tue. 19 May 2026
4:00 pm UTC (London)
Live webinar
Tue. 19 May 2026
6:00 pm UTC (London)
Prof. Dr. med. dent. Ivo Krejci
Live webinar
Wed. 20 May 2026
12:00 pm UTC (London)
Dr. Graham Carmichael BDSc (Hons), DClinDent (Pros), FRACDS, Dr. Robert Gottlander DDS
Live webinar
Wed. 20 May 2026
2:00 pm UTC (London)
Live webinar
Wed. 20 May 2026
6:00 pm UTC (London)
Prof. Dr. med. dent. Tim Joda PhD, MSc, eMBA
To post a reply please login or register