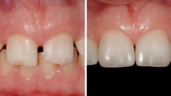
LEIPZIG, Germany: The improvement in the population’s oral health overall and the growing demand among patients for dental aesthetics and tissue preservation has rejuvenated free-hand bonding, making it a primary treatment option in the aesthetic zone. A webinar presented by the Dental Tribune Study Club on 2 October will give participants insights into the aesthetic solutions offered by modern resin composites and familiarise them with the associated clinical procedures.
Owing to the tremendous progress made in their optical properties and application techniques, the latest resin composites offer outstanding aesthetic results and biologically sound solutions to problems that previously could only be addressed with expensive and more-invasive ceramic restorations. In addition, resin composites fulfil the aesthetic requirements of many young patients through ultra-conservative, often no-prep, restorative and aesthetic solutions. Practically, their only remaining drawback is the practitioner’s experience and knowledge of their extensive aesthetic potential.
In the one-hour webinar, speaker Didier Dietschi, DMD, PhD, will cover treatment rationale and integration of minimally invasive composite techniques in a comprehensive approach to smile design and dental aesthetics. A detailed description of clinical procedures, accompanied by ample documentation, will provide attendees with a comprehensive understanding of the topic.
Dietschi has published over 80 papers on the clinical and scientific aspects of adhesive and aesthetic restoration, and co-authored a book about adhesive metal-free restorations. Besides lecturing internationally, he maintains a private practice part time, specialising in restorative aesthetic dentistry, and perio-implant dentistry.
The webinar, titled “UItra-conservative smile and aesthetic rehabilitations: Indications, limits and clinical procedures”, is free of charge and will be broadcast online on Wednesday, 2 October, at 4 p.m. BST. Participants will be able to ask questions via a chat window and have the opportunity to earn a continuing education credit by completing a multiple-choice questionnaire on the topic discussed.
Registration for the webinar is now open on the DT Study Club website, www.dtstudyclub.co.uk.
LEIPZIG, Germany: A structured approach to treatment planning for advanced clinical cases utilising modern digital technologies is the topic of a webinar ...
Aesthetic medicine is increasingly taking on a global connotation of harmony and balance, defined certainly by historically evolved and shared canons, but ...
Prof. David Denning is professor of infectious diseases in global health at the University of Manchester and the chief medical adviser at DenScreen, a ...
An award-winning clinician, researcher and director at the Brånemark Centre in Perth in Australia, Dr Graham Carmichael is a consultant prosthodontist and ...
Diabetes mellitus (DM) is a chronic metabolic disorder that has emerged as a major global health concern. It is broadly classified into two main types. Type...
LONDON – For over 150 years, the Westminster Hospital in London took care of the sick and disabled until making way for the Queen Elizabeth II ...
LEIPZIG, Germany: Work-related musculoskeletal disorders are an increasing problem in the dental profession. A new free webinar, to be presented by the ...
LONDON, UK: When it comes to implants, good outcomes and high predictability are crucial. In a free upcoming Straumann Group webinar on Thursday, 21 ...
LEIPZIG, Germany: A new instrumentation technique, which is designed to improve safety, efficiency and user friendliness of shaping procedures, will be ...
HAMBURG, Germany: Periodontal health can contribute to systemic conditions; recent research has found evidence about the links between gum disease and ...
Live webinar
Thu. 14 May 2026
5:00 pm UTC (London)
Live webinar
Thu. 14 May 2026
7:00 pm UTC (London)
Prof. Hani Ounsi DDS PhD FICD
Live webinar
Tue. 19 May 2026
4:00 pm UTC (London)
Live webinar
Tue. 19 May 2026
6:00 pm UTC (London)
Prof. Dr. med. dent. Ivo Krejci
Live webinar
Wed. 20 May 2026
12:00 pm UTC (London)
Dr. Graham Carmichael BDSc (Hons), DClinDent (Pros), FRACDS, Dr. Robert Gottlander DDS
Live webinar
Wed. 20 May 2026
2:00 pm UTC (London)
Live webinar
Wed. 20 May 2026
6:00 pm UTC (London)
Prof. Dr. med. dent. Tim Joda PhD, MSc, eMBA
To post a reply please login or register