Search Dental Tribune

Resonance frequency analysis—the only longitudinal metric for implant stability

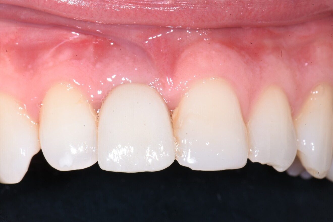
Fig. 1: Pre-treatment clinical photograph of tooth #11. (All images: Dr Michael R. Norton)

Wed. 8 October 2025

save

Over the last two decades, there has been an increasing demand for accelerated dental implant treatment protocols to minimise treatment duration and to avoid the need for provisional removable prostheses. However, immediate loading of implants was considered a risk factor for early failure owing to occlusal overload.1,2 In the absence of any alternative proposals, implant companies resorted to the anecdotal design of tapered and aggressively threaded implants in an effort to enhance mechanical implant fixation into bone as measured by insertion torque.

This rather carpenter-like approach nonetheless yielded much higher success as clinicians looked to push the envelope with ever-higher insertion torques,3 perceived as increasing primary stability, and achieved comparable survival rates to those of conventional loading protocols, at least in the short to medium term. However, the literature has since become replete with evidence that such high insertion torques, typically > 50 Ncm, are in fact damaging the surrounding bone, these high strains resulting in microfractures, loss of vascularisation, osteocyte cell death and consequently waves of resorption propagating at some distance from the bone-to-implant interface.4–6 At the extreme, this has resulted in excessive marginal bone loss and ultimately compression necrosis and complete implant failure.7,8 In the longer term, it has been proposed that the damage induced in the bone makes it more vulnerable to advancing marginal bone loss and peri-implantitis.9 It is known that healing and therefore osseointegration are delayed and that the resulting integration is of inferior quality, bone-to-implant contact being reduced. Thus, while it may be true that success rates for immediate loading when higher insertion torque is used are comparable to those of conventional implant loading, there remains a broad lack of knowledge about the long-term consequences arising from the damage induced in the peri-implant bone as well as the misconception that lower insertion torques yield higher failure.

The issue is one of perception and threshold. Since many clinicians now happily use torques of 75 Ncm or more, the idea of placing an implant to 20 Ncm seems unreliable at best and high risk at worst, and there has been a complete failure to grasp the notion that 20–25 Ncm represents a likely threshold above which additional increases in torque yield little in the way of added stability, but only damage the bone. I first proposed this idea in 201110 and again discussed it in an editorial in the International Journal of Oral and Maxillofacial Implants,11 and I presented subsequent research demonstrating that baseline resonance frequency analysis (RFA) can yield implant stability quotient (ISQ) values approaching or even exceeding the desired target of 70 when using an insertion torque of ≤ 25 Ncm.12 More importantly, the singular benefit of RFA is the ability to repeat measurements over time, enabling the clinician to infer the dynamic biological changes that are taking place during healing and thus gain objective evidence of ongoing osseointegration, thereby allowing the clinician to restore the implant at the most appropriate time and with greater confidence. In contrast, insertion torque is a once-off measure and can therefore provide no longitudinal information about the dynamic process of osseointegration. The following case report is an everyday example of my own experience of placing implants into extraction sockets, followed by immediate provisionalisation, using low insertion torque and performing RFA to document the ISQ values over time.

Case report

A 37-year-old male patient was referred to my clinic for extraction and replacement of a failing maxillary right central incisor. The history revealed that the patient had suffered a childhood trauma at age 12, when the tooth was fractured close to the gingival margin. The patient underwent endodontic therapy for root canal obturation, and the tooth was crowned. After ten years, the patient became aware of symptoms, and a recurrent abscess was diagnosed. The root canal was partially filled with composite to attempt to further obturate it. After a further five years, the patient was provided with a new post and crown. Nonetheless, the infection remained, so approximately nine years before, the tooth had undergone apicoectomy, after which it settled down for a period, but it flared up again in early 2024. At that point, the patient was referred to my practice for treatment.

On examination, the patient presented with a minimally restored dentition with a few composite restorations and a crown on tooth #11. The tooth being in the aesthetic zone increased the challenge of delivering a good outcome. The patient had a healthy periodontium and only a few isolated non-pathological pockets of 4–5 mm in depth at the lingual surfaces of the mandibular molars, accompanied by some minor bleeding on probing. The patient was advised to seek more regular hygiene focusing on these areas.

Tooth #11 was immobile and associated with adequate ridge width and a wide band of keratinised tissue (Fig. 1). There was also a favourable Class I incisor relationship and adequate space to accommodate an implant-supported restoration. A CBCT scan of the site revealed an inadequately endodontically treated tooth with a lack of an apical seal and incomplete obturation of the canal. The tooth benefited from good bone support provided by a robust facial bone plate at the alveolar crest (Fig. 2), but there was a large periapical dentigerous cyst measuring approximately 10 × 8 mm, extending to the mesial surface of tooth #12, and complete fenestration of the facial plate superiorly (Fig. 3). The prognosis of the tooth was deemed to be hopeless, and extraction was indicated.

Fig. 2: CBCT scan of failing tooth #11, showing inadequate root canal treatment and apical fenestration but an intact labial-crestal plate.

Fig. 2: CBCT scan of failing tooth #11, showing inadequate root canal treatment and apical fenestration but an intact labial-crestal plate.

Fig. 3: Cystic cavity measuring approximately 10 × 8 mm.

Fig. 3: Cystic cavity measuring approximately 10 × 8 mm.

Fig. 4: CBCT scan showing the planned implant placement.

Fig. 4: CBCT scan showing the planned implant placement.

Typically, with such a large cyst, the treatment plan would be extraction, cyst enucleation and grafting, followed by implant placement after healing of the graft, and the patient would be provided with a provisional, often removable, prosthesis. However, I have for many years specialised in complex immediate implant placement and have published extensively on the use of low insertion torque with high success, even in the case of immediate provisionalisation. Accordingly, the risks and benefits were discussed with the patient, who elected for a simultaneous approach and immediate restoration. This was planned in the CBCT scan using i-Dixel software (Morita) for the placement of a PrimeTaper EV implant (Dentsply Sirona, 4.2 × 17.0 mm; Fig. 4), and a bovine bone mineral substitute was chosen as the grafting material.

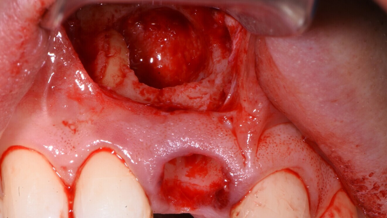
An atraumatic extraction protocol was used, involving initial luxation with a periotome and a rotational rather than facial-palatal method of displacement, thereby preserving the facial plate. Once the tooth had been extracted, a sub-sulcular envelope incision was used to gain access to the lesion, and the cyst was enucleated and the surrounding bone curetted and decontaminated (Fig. 5). A surgical guide was used to ensure the optimal position of the implant (Fig. 6), and the apical cutting threads of the PrimeTaper EV implant (Fig. 7) ensured that the implant engaged effectively with the apical bone, but the insertion torque only reached 20 Ncm owing to the large cyst-related cavity and the resulting lack of significant initial bone-to-implant contact. The baseline ISQ value was 61 and 65 in the facial-palatal and mesiodistal directions, respectively (Fig. 8), but in my experience, this combination of torque and ISQ value indicated that the implant was suitable for immediate loading, since the torque was ≥ 20 Ncm and the ISQ value was ≥ 65 in one direction.

Fig. 5: Extraction socket with the infra-bony cyst cavity exposed.

Fig. 5: Extraction socket with the infra-bony cyst cavity exposed.

Fig. 6: Surgical guide in situ.

Fig. 6: Surgical guide in situ.

Fig. 7: View of the implant passing across the infra-bony cavity.

Fig. 7: View of the implant passing across the infra-bony cavity.

Fig. 8: OsstellConnect showing an initial ISQ value of 61 and 65, represent- ing acceptable primary stability of the implant.

Fig. 8: OsstellConnect showing an initial ISQ value of 61 and 65, represent- ing acceptable primary stability of the implant.

The infrabony defect was grafted with the bovine bone mineral and covered in a resorbable collagen membrane (OSSIX Plus, Dentsply Sirona) before the wound was closed and the immediate provisional restoration fabricated, which was under-contoured on purpose to allow for soft-tissue volume to increase around the neck of the crown and to bring the zenith coronally in order for it to be level with that of the adjacent central incisor (Figs. 9–11). RFA was then utilised to monitor changes in stability, increasing to 64/69 ISQ after six weeks and an impressive 79/82 ISQ after just over four months of healing. These values indicated progressive bone remodelling, graft consolidation and osseointegration and thus that the site was ready for definitive restoration.

At this stage, impressions were taken using an intra-oral scanner, and the definitive screw-retained crown was fabricated utilising an Atlantis CAD/CAM abutment (Dentsply Sirona) and a bonded zirconia crown (Fig. 12). RFA was performed again at nine months and one year after placement, resulting in further increases to 85/84 ISQ and 86/86 ISQ, respectively. This plateauing of the ISQ values indicated that the graft had matured and complete secondary stability had been achieved. Thus, at the 12-month follow-up, not only was the patient satisfied with the aesthetics of the fixed restoration, including the enhanced soft-tissue profile, and the favourable radiographic outcome (Fig. 13), but we also gained insightful and detailed information on implant stability from the longitudinal ISQ values, giving us confidence in the long-term prognosis of this implant-supported restoration.

Fig. 9: Infra-bony cavity grafted with a bovine bone mineral rehydrated in a tetracycline solution.

Fig. 9: Infra-bony cavity grafted with a bovine bone mineral rehydrated in a tetracycline solution.

Fig. 10: Placement of an OSSIX Plus collagen barrier membrane.

Fig. 10: Placement of an OSSIX Plus collagen barrier membrane.

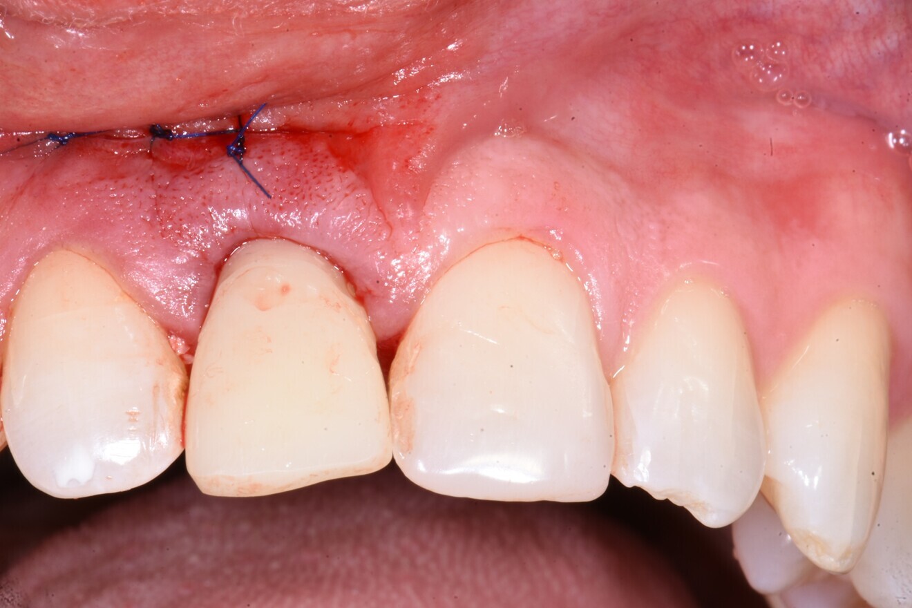
Fig. 11: Under-contoured provisional restoration placed immediately and out of occlusal contact to allow soft-tissue fill.

Fig. 11: Under-contoured provisional restoration placed immediately and out of occlusal contact to allow soft-tissue fill.

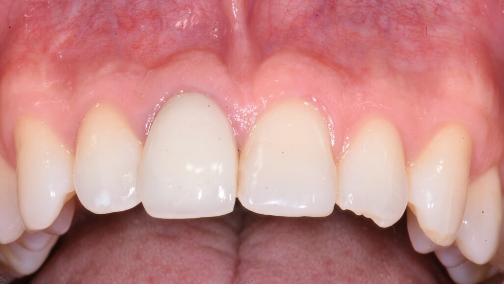
Fig. 12: Definitive screw-retained zirconia crown on an Atlantis CustomBase milled titanium abutment.

Fig. 12: Definitive screw-retained zirconia crown on an Atlantis CustomBase milled titanium abutment.

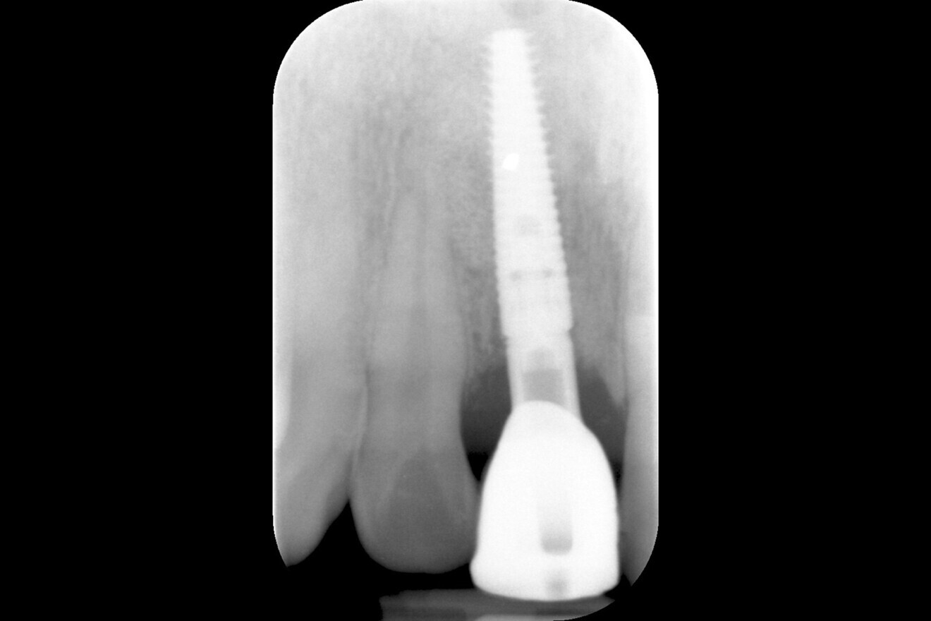
Fig. 13: Radiograph of the implant at baseline insertion of the definitive crown.

Fig. 13: Radiograph of the implant at baseline insertion of the definitive crown.

All the ISQ values were recorded electronically utilising the OsstellConnect software (Osstell) to clearly demonstrate the longitudinal change in implant stability (Fig. 14) and the gradual shift from primary mechanical to secondary biological stability. Not only is OsstellConnect a repository for implant stability measurements, but the longitudinal graph that it maps of multiple ISQ measurements can be a metric by which a customised treatment can be determined according to the rate of gain in ISQ values, or indeed the fall of ISQ values, indicating a possible issue with healing and serving as a warning to delay loading.

For another patient, the implant was seen to dramatically reduce in ISQ values from a baseline of 72/74 to 56/58 at the three-month postoperative review, even though the implant was immobile and was resistant to manual torque without pain (Fig. 15). However, a simple intra-oral radiograph confirmed that, compared with baseline (Fig. 16), there was significant loss of crestal bone (Fig. 17), thus corroborating the significance of the drop in ISQ values.

Fig. 14: OsstellConnect ISQ treatment curve mapping implant stability over 14 months.

Fig. 14: OsstellConnect ISQ treatment curve mapping implant stability over 14 months.

Fig. 15: ISQ curve showing a drop in stability and the time taken to recover stability over 14 months.

Fig. 15: ISQ curve showing a drop in stability and the time taken to recover stability over 14 months.

Surgical re-entry revealed significant facial and palatal bone loss and marked apical migration of the alveolar crest of the adjacent teeth (Fig. 18). The implant and surrounding bone were decontaminated and the site repaired using classical guided bone regeneration techniques. Subsequent monitoring of the ISQ values revealed that, over a period of nine months, the implant and surrounding graft underwent consolidation and achieved enhanced biological stability, which continued to progress in response to functional loading, yielding a final ISQ value of 80/79 one year and five months after initial insertion of the definitive crown. There was also radiographic evidence of favourable marginal bone levels (Fig. 19). No other instrument or metric can offer such important information regarding the changes taking place at a biological level or provide this kind of longitudinal stability data.

In addition, OsstellConnect is a useful auditing and monitoring tool, enabling the clinician to document information such as the patient’s medical risk factors, details of the surgical protocol (including any staged or simultaneous grafting procedures), the insertion torque values and the dates of the recording of each ISQ value. In this way, as more cases are recorded in OsstellConnect, so will the value of the information about the factors which influence ISQ values, over and above implant brand, type and size, become increasingly apparent, offering new insights into those factors which affect primary and secondary stability. Therefore, this is not just a valuable tool for the individual clinician, but also an essential audit registry for the profession.

Fig. 16: Baseline radiograph of the implant mapped in Figure 15, showing good marginal bone levels.

Fig. 16: Baseline radiograph of the implant mapped in Figure 15, showing good marginal bone levels.

Fig. 17: Radiograph of the implant after three months of osseointegration, showing significant cratering of the crestal bone.

Fig. 17: Radiograph of the implant after three months of osseointegration, showing significant cratering of the crestal bone.

Fig. 18: Clinical photograph of the defect.

Fig. 18: Clinical photograph of the defect.

Fig. 19: Radiograph taken 11 months after remedial surgery and guided bone regeneration around the implant, demonstrating good graft confinement and consolidation.

Fig. 19: Radiograph taken 11 months after remedial surgery and guided bone regeneration around the implant, demonstrating good graft confinement and consolidation.

Conclusion

There has been a concerted effort on the part of industry to drive clinical practice into the realms of carpentry, ever-higher insertion torques being recommended for implant primary stability, especially under the conditions of immediate loading. Sadly, this recommendation has been misplaced and is an abuse of our greater understanding of the literature and indeed common sense. The biology of bone, a viscoelastic material, is well known, and this tissue is vulnerable to high levels of strain, plastic deformation to the point of fracture and mass waves of resorption when subjected to high insertion torques. While this does not necessarily result in implant failure, it does result in a delayed healing response and an inferior quality of osseointegration.

Insertion torque is a once-off measure that has no ability to give the clinician any insight into the biological process of healing towards secondary stability. In contrast, RFA can map the changes from primary to secondary stability, providing insight into the changes in stiffness which indicate the healing and maturation of the bone at the implant interface, and give insight into the onset of secondary biological stability. By using this map of stability, it is possible to customise the treatment for each implant in a patient, making informed decisions about whether to delay loading, to progressively load or to place the definitive restoration. I believe that an insertion torque of 20–25 Ncm and an ISQ value of ≥ 65 in any one direction represent the optimal markers for immediate loading and that an increase in ISQ value to > 70 thereafter provides a sound basis for finalisation of the case.

Editorial note:

This articles was published in implants—international magazine of oral implantology Vol. 26, Issue 3/2025.

The complete list of references can be found here.

Topics:
Tags:
To post a reply please login or register
advertisement
advertisement