Minimally invasive non-surgical therapy in patients with intra-bony defects aims to minimise tissue trauma and enhance wound healing by avoiding surgical incisions and suturing. (Image: zlikovec/Shutterstock)
LONDON, UK: Despite improvements in treatments, intra-bony defects are associated with progression of periodontal disease and tooth loss unless they are treated with complex surgeries. Now, in a first-of-its-kind multicentre study, researchers from the Faculty of Dentistry, Oral and Craniofacial Sciences at King’s College London analysed the clinical and radiographic outcomes of intra-bony defects treated with a non-surgical approach and found it to be a viable treatment option.
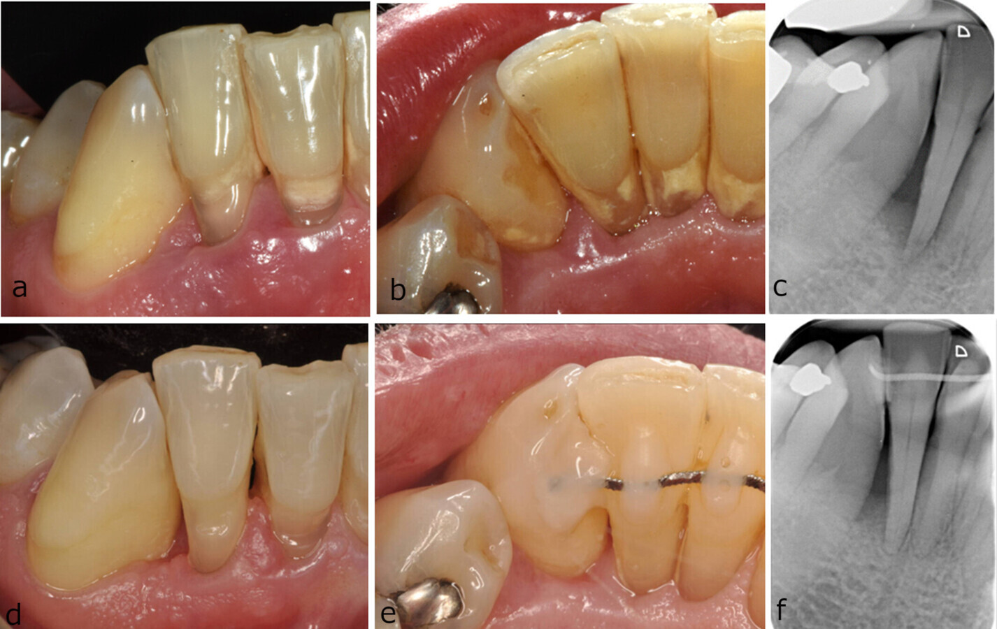
Despite its successes, regenerative surgery is associated with morbidity, complications and high material costs. Outcomes are not always predictable, and clinical failures and incomplete success have been reported. Consequently, there has been a shift towards more patient-friendly alternatives such as minimally invasive non-surgical therapy (MINST). This approach aims to minimise tissue trauma and enhance wound healing by avoiding surgical incisions and suturing. However, as the predictability, generalisability and wide applicability of MINST remain unclear, the research team’s goal was to assess the effect of MINST in intra-bony defects.
The study evaluated data on 48 patients with one or more intra-bony defects who were treated in private practice in the UK, Italy and Spain. The patients received Step 1 and Step 2 periodontal therapy, including MINST. Clinical and periapical radiographic data was analysed at the beginning of the treatment and 12 months thereafter.
The mean total radiographic defect depth was reduced by 1.42 mm, and the defect angle increased by 3°. Statistically significant improvements in probing pocket depth (PPD) and clinical attachment level (CAL) were seen at 12 months compared with baseline. A PPD of 4 mm or less was achieved for 66.7% of the defects, and 58.3% of the defects gained 3 mm in CAL in addition. Deeper and narrower-angled defects showed greater radiographic and clinical improvements, respectively.
“These findings agree with the outcomes reported in previous single-centre studies on MINST, providing additional confirmation that an atraumatic technique, which minimises tissue damage and trauma while promoting gingival margin stability and reducing chairside time, can substantially improve intra-bony defects,” stated the study authors. However, they emphasised that achieving the clinical goal of a PPD of less than 5 mm and no bleeding on probing may require surgical intervention in some cases.
In addition, the researchers stated that the main limitations of this study were the lack of a control group, the exclusion of smokers, which limited the generalisability of findings, and the use of non-standardised radiographs.
“The outcome of the study suggests the validity of this method as a potential technique to save many teeth with advanced gum problems, without the need for surgery,” said co-author Dr Luigi Nibali, professor of periodontics at King’s, in a press release. “This has the potential to save costs for the NHS [National Health Service] and the patient, and the treatment is of course a lot more patient-friendly,” he added.
The study authors emphasised that MINST should be considered a viable treatment approach and that its effectiveness should be validated in the form of further controlled multicentre studies.
SHEFFIELD, UK: Infective endocarditis (IE) is a potentially life-threatening heart infection that is caused by dental bacteria in around a third of cases. A...
BIRMINGHAM, UK: Since their introduction a few years ago, electric scooters have continued to gain popularity in urban mobility worldwide. Alongside this ...
Education
Live webinar Tue. 19 May 2026 4:00 pm UTC (London)
BIRMINGHAM, England: The British Dental Conference & Dentistry Show 2026 opened today at the NEC in Birmingham. Free to attend for dental professionals,...
Dentistry demands clinical precision, often within tight time constraints and under pressure to meet patients’ expectations, but effective practice ...
LONDON, England: Dental training has been evolving rapidly in recent years alongside digital technology, reshaping how dental students are taught, assessed ...
To post a reply please login or register