Immediate placement of implants into fresh extraction sockets has been shown to deliver good outcomes. The literature reports good implant survival rates, as well as acceptable marginal bone loss, gingival recession and aesthetics.1 In particular, there is evidence that immediate implant placement into molar sites leads to predictable outcomes and high success rates.2 The same study suggests that grafting around the implant in these situations and using an anatomic healing abutment can further reduce resorption of the bone.
The following case report demonstrates the successful implementation of immediate implant placement in fresh molar extraction sockets.
Case presentation
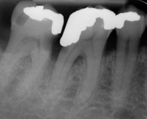
Fig. 2: Pre-op radiograph.
A 57-year-old male patient presented by referral with two failing molars, teeth #46 and 47. The patient had a clear medical history, and both molars exhibited extensive caries and restoration (Figs. 1–6).
Treatment planning
After thorough discussion, the patient was presented with two options: deep marginal elevation combined with root canal treatment or implant placement. The patient opted for implants, expressing a preference for a long-term fixed solution.
Given the absence of acute infection and the availability of adequate bone, we decided on immediate implant placement with delayed loading for both sites. Immediate placement is preferred, because maintaining the existing hard- and soft-tissue architecture is far more predictable than attempting to rebuild it later.
A guided surgical approach was selected, specifically a sleeveless guide, to make use of the precision that it affords in such cases. The DentiqGuide software (3DII) was used to plan treatment in order to establish precise implant positioning. The surgical guide was then printed on a Sonic Mini 8K S (Phrozen), ensuring high accuracy in execution.
Fig. 3: Virtual extraction.
Fig. 4: Digital implant planning, occlusal view.
Fig. 5: Digital implant planning, labial view.
Fig. 6: Surgical guide design.
Surgical treatment
Fig. 7: Existing roots sectioned to allow atraumatic extraction.
The failing teeth were sectioned and extracted atraumatically to preserve the surrounding bone (Fig. 7). The sockets were thoroughly debrided using Lucas curettes to remove any residual infection or granulation tissue (Fig. 8).
The implants (5 × 9 mm CONELOG PROGRESSIVE-LINE, BioHorizons Camlog) were then placed using the sleeveless surgical guide and the CONELOG guided kit (Figs. 9 & 10).
After verification of the implant placement, the grafting material (MinerOss Putty allograft, BioHorizons Camlog) was packed into the site to the bone level to reduce the build-up of grafting material in the soft tissue.
Custom healing abutments were constructed using a temporary abutment and composite, and polished to a high lustre using silicone wheels and then seated (Fig. 11). The patient was given standard postoperative instructions to support healing of the surgical site in the months to come.
Fig. 8: Sockets thoroughly debrided.
Fig. 9: Implants placed using a surgical guide to ensure precision.
Fig. 10: Implants in place, situation after grafting.
Fig. 11: Custom healing abutments placed.
Restorative treatment
Fig. 12: Post-op radiograph.
After a healing period of three months, the Medit i700 intra-oral scanner was used to record the implant position and soft-tissue profile, ensuring optimal prosthetic planning and precise restoration (Fig. 12). The implant crowns were constructed using custom milled titanium abutments with a zirconia crown. Care was taken to ensure that any zirconia in contact with the tissue was polished rather than glazed to promote optimal soft-tissue health.
Outcome and discussion
The immediate placement of the CONELOG PROGRESSIVE-LINE implants in both molar sockets proceeded smoothly, achieving excellent primary stability. The hard and soft tissue was well maintained, and excellent soft-tissue thickness and a stable band of keratinised tissue were achieved (Figs. 13–16). This approach not only preserved the existing bone and soft tissue but also provided a solid foundation for future prosthetic restoration. This case highlights the importance of case selection and choice of implant and grafting material in optimising long-term outcomes in implant dentistry.
The use of MinerOss Putty played a crucial role in maintaining bone volume and soft-tissue integrity, further contributing to the long-term success of the implants. This allograft is routinely selected for these cases. Its handling properties are exceptional, making placement easy. Additionally, owing to its 10% collagen composition, its integration is superior, reducing the risk of particle migration or poor cohesion during placement seen with other grafting materials.
Fig. 13: Healing abutments removed to reveal soft-tissue healing.
Immediate placement, when feasible, offers significant advantages in simplifying long-term maintenance compared with extensive hard- and soft-tissue reconstruction. The CONELOG PROGRESSIVE-LINE implant system continues to be a reliable choice for immediate placement, particularly in molar sites, owing to its excellent design and adaptability, and the CONELOG guided kit’s screw-in carriers allow for very accurate positioning.
The design features of CONELOG PROGRESSIVE-LINE that make it particularly effective include an aggressive thread design for high primary stability; the Promote (sand-blasted, acid-etched) surface treatment, promoting rapid osseointegration; and Grade IV titanium, commercially pure titanium offering predictable osseointegration. CONELOG PROGRESSIVE-LINE implants are especially well suited for molar sites owing to the conical connection with platform switching.
When combined with the correct depth of placement, this ensures stable crestal bone levels over time. One of the standout features is the availability of various sizes, including a 5 mm implant that allows for a conical connection while maintaining a less aggressive emergence profile compared with other systems.
Chen R, Xu J, Wang S, Duan S, Wang Z, Zhang X, Tang Y. Effectiveness of immediate implant placement into defective sockets in the esthetic zone: a systematic review and meta-analysis. J Prosthet Dent. 2025 Feb;133(2):411–26. doi: 10.1016/j.prosdent.2024.02.022.
Ragucci GM, Elnayef B, Criado-Cámara E, Del Amo FS, Hernández-Alfaro F. Immediate implant placement in molar extraction sockets: a systematic review and meta-analysis. Int J Implant Dent. 2020 Oct 13;6(1):40. doi: 10.1186/s40729-020-00235-5.
When a patient presents to your dental practice with questionable and/or non-restorable teeth requiring full-mouth extractions, the greatest concern is ...
The socket shield technique (SST) may be an alternative for a desirable aesthetic outcome in dental implant treatments. Consultant prosthodontist Dr Sanjay ...
DUBLIN, Ireland: Aiming for the rapidly growing digital implantology market, DENTSPLY IMPLANTS has announced the incorporation of SimPlant, dental practice ...
The evolution of digital dentistry has revolutionised the way dental procedures are planned and executed. This case highlights the integration of various ...
LONDON, England: The UK government has announced measures aimed at increasing the number of dentists able to practise, as part of a wider effort to improve ...
LONDON, UK: When it comes to implants, good outcomes and high predictability are crucial. In a free upcoming Straumann Group webinar on Thursday, 21 ...
LEICESTER – As reported by the Leicester Mercury online, a prisoner has tried to smuggle drugs into a British prison using a line of dental floss. The...
LONDON, UK: The House of Commons Health and Social Care Committee has launched an inquiry into NHS England dentistry services, stating that the focus of NHS...
Crown 24 UK has made a significant impact in the UK dental laboratory market since it started three years ago. Dental Tribune Online had the opportunity to ...
Dental implants are widely accepted as a successful method for replacing missing teeth. The success of dental implant treatment depends on many factors, ...
Education
Live webinar Wed. 8 April 2026 6:00 pm UTC (London)
LONDON, England: The UK government’s plan to expand registration routes for overseas dentists has been positioned as a major step towards easing the ...
In my experience, the cementation of glass-ceramic veneers is one of the most technique-sensitive procedures in restorative dentistry, owing to the minimal ...
Despite rapid advancements in digital cariology and biomaterials, a translation gap remains between modern clinical capabilities and resources and the ...
To post a reply please login or register