Fig. 1: Dental Wings intraoral scanner.
Fig. 6: CodiagnostiX surgical guide.
Fig. 7: Printed guide and sleeves.
Fig. 8: Postoperative radiograph of implant placement.
Fig. 9: Surgical placement of LL67 implants.
Fig. 10: Scanbodies in situ.
Fig. 11: Tissue level implants.
Fig. 12: Crowns on printed model.
Fig. 13: Implant crowns in situ.
Fig. 14: Scanbodies with composite flow material to increase scan accuracy.
Fig. 15: Verification jig locked in situ to gain implant passivity.
Fig. 16: Createch framework fit surface.
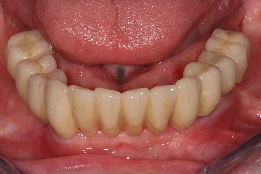
Fig. 17: Finished screw-retained bridge in situ.