Dr Chetan Sharma is an award-winning cosmetic dental surgeon and advanced facial aesthetics practitioner and founder of CS Aesthetics Cosmetic Dentistry in Birmingham & Wolverhampton. Here, he explains how he corrected a complex anterior open bite.
As far as transformations go, cases are rarely more transformational than this one. Not just in a visual and cosmetic sense for the patient, but functionally and most importantly, mentally for her too. I still remember the day when the patient walked through the surgery door. As dentists and effective communicators, we are taught to pick up on body language and mannerisms; it was evident that this patient was unhappy with her smile, and it was impacting her confidence.
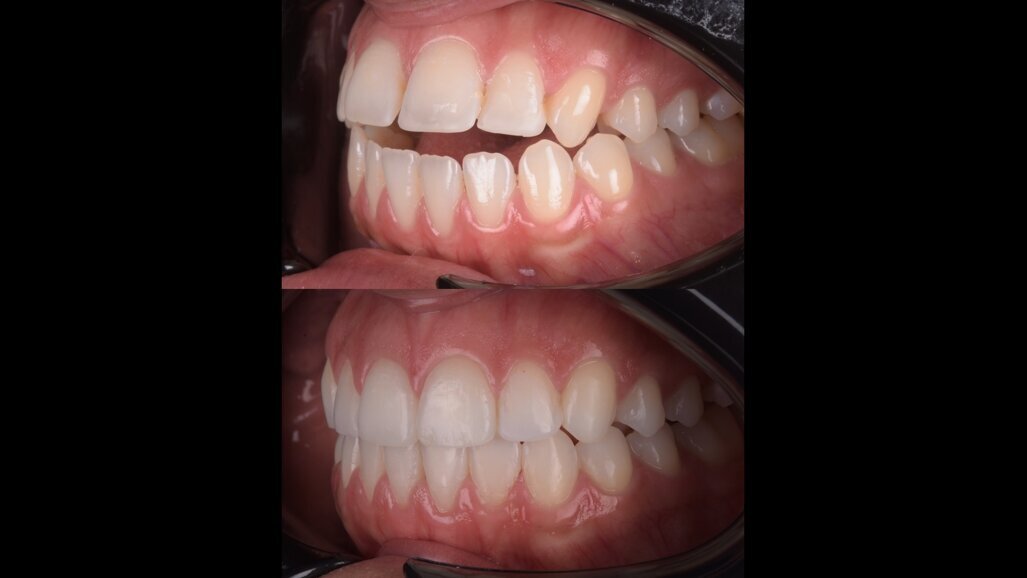
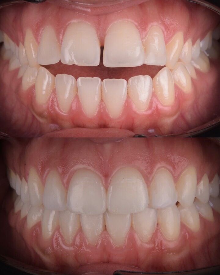
A complex case featuring an anterior open bite
From a clinical perspective we were dealing with a significant anterior open bite, which can be complex to treat, but this case proves that the Invisalign modality can be effective. In addition, the patient had existing, stained composite bonding on her upper four incisors with incorrect width to height proportions and shapes, which made her smile look square. She also expressed concerns that she wasn’t able to grip and bite properly with her front teeth.
Front and right/left retracted
Firstly, it was important to diagnose what had caused the anterior open bite because this effects the treatment plan and, importantly, after-care and retention. We needed to assess whether it was a skeletal, soft tissue or dental issue. After a thorough history and examination, we assessed that it was a dental, soft tissue issue. The patient had sucked her thumb as a child and potentially has a current tongue thrust.
Attachments
The other key challenge was carrying out extrusion movement on the teeth, especially of the upper and lower incisors. To do this we applied extrusion attachments on the incisors, which really helped with the intrusion movements. Sometimes Invisalign technicians will not apply these attachments but because of my treatment and orthodontic knowledge, I was aware they were needed on the front teeth. We also applied attachments on the lower, rear molars to insure that there was retention while the extrusion was carried out at the front of the mouth, and this also helped with molar intrusion.
Another significant challenge was incorporating the final smile design into the Invisalign treatment plan. The patient’s existing composite bonding was very square, chipped and stained, so we had to take this off during the treatment while continuing to straighten and correct the bite. To understand what the patient’s teeth were like underneath the composite we used a tool on the Invisalign ClinCheck called the Bolton Analysis, which tells you the tooth height to width ratio. This indicated that the teeth were too square for the patient’s mouth.
We decided to straighten the teeth as much as possible first until she could see a difference in her bite. The beauty of Invisalign treatment is that we were able to pause treatment to remove the composite, which we did using a tungsten carbide debond burr under loupes magnification and UV lighting. An additional ClinCheck Bolton Analysis was then undertaken to ensure the correct proportions of the teeth. We then replanned her treatment and new composite. After a few weeks of whitening within the aligners and finishing the alignment, we were ready for the final composite edge bonding on the front four upper incisors. We then placed the fixed retainer to finish off the case.
Of course patient compliance was key to success. As soon as patients come for their first consultation I motivate them by showing them the prospective outcome of their treatment using the iTero™ digital scanner’s Outcome Simulator function. I also get to know them and understand their motivation and why have chosen to have treatment now, such as for a wedding or other special occasion.
In this case the motivation was definitely not only for the patient’s dental health but her mental health too. I also stressed that if she didn’t wear her aligners the treatment would not work. This is something I stress to all my patients during the aligners fit appointment. I also manage patient expectations from the outset, which I also believes helps motivate their compliance. For instance, if I believe treatment should take six to eight months, I tell them that I expect their treatment to take eight to 10 months, but if they are compliant, wearing for the recommended 22 hours a day, and utilising tools such as Chewies, they may finish in six to eight months. This patient completed her main Invisalign treatment in eight months and two weeks but will continue to wear her Vivera retainers at night-time.
The immeasurable impact of effective treatment
We recently completed the patient’s six-month review, and she was just a different woman. She exuded confidence and I could tell she is now a lot more comfortable smiling and in herself. The effect of a nice smile on a person extends beyond just photos: it’s a day-to-day life change, which ensures they are more smiley as a person and creates a much more positive aura. There is also a significant functional change: the patient can eat properly!
For me, having completed approaching 1,000 cases, this has to be one of the most rewarding and transformational treatments I have ever carried out.
In October, Dentsply Sirona World came to the UK for the first time. Held in partnership with the local Platform for Exchange of Experience, Research and ...
Registration for ROOTS SUMMIT 2024 is open, and the organisers would like to introduce some of the great speakers and their lecture topics for next year’s...
LEIPZIG, Germany: A free webinar, presented by the Dental Tribune Study Club on 30 July, will introduce a novel anterior restorative from the makers of ...
As a dental practitioner, helping your patient choose the right alignment system from the many available to improve his or her smile can be very daunting. ...
As a dental practitioner, helping your patient choose the right alignment system from the many available to improve his or her smile can be very daunting. ...
As one of many dental organisations to do so, the European Federation of Conservative Dentistry (EFCD) chose to hold its international congress in the UK ...
BARKING, England: Queen Mary University of London, in partnership with the London Borough of Barking and Dagenham Council, has announced the opening of a ...
As cancer treatments evolve, clinicians of all disciplines must also adapt their approaches to medical and dental treatments in order to best compensate for...
LONDON, UK: Online registration for the BDIA Dental Showcase, to be held from 4 to 6 October at ExCeL London, is now open. Thousands of dental professionals...
WAALWIJK, Netherlands: From 18 to 20 November, the seventh edition of the MRC European Summit, hosted by Myofunctional Research Co. (MRC), will take place ...
LONDON, England: The UK government’s plan to expand registration routes for overseas dentists has been positioned as a major step towards easing the ...
In my experience, the cementation of glass-ceramic veneers is one of the most technique-sensitive procedures in restorative dentistry, owing to the minimal ...
To post a reply please login or register