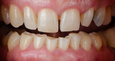
LONDON, UK: The premature wearing of teeth due to dietary or gastric acids is the third most common dental condition after caries and periodontal disease. A new study by scientists from King’s College London has shed more light on the topic of tooth wear in relation to obesity, exploring how the consumption of sugar-sweetened acidic drinks is a common factor in obesity and tooth wear among adults.
For the study, the scientists drew on data from the National Health and Nutrition Examination Survey 2003–2004 and analysed the body mass index and level of tooth wear of 3,541 patients in the US. The intake of sugar-sweetened acidic drinks was recorded through two non-consecutive 24-hour recall interviews during which the patients were asked to provide details of diet intake across the two days. The results indicated that the consumption of sugary soft drinks is a major cause of dentine and enamel erosion in obese patients.
“It is the acidic nature of some drinks such as carbonated drinks and acidic fruit juices that leads to tooth wear,” explained Dr Saoirse O’Toole, one of the lead authors. “Obese patients also have other risk factors such as increased likelihood of gastric reflux disease which was controlled for in this study.”
Severe erosive tooth wear reduces quality of life and can mean complex and costly procedures. The condition is preventable, and changes to consumption habits can help stop people getting it or making it worse. “There is an important message for dentists,” Dr O’Toole added. “We should be asking our patients who are obese and have tooth wear what calories they are drinking as this may be having an effect on their full bodies—not just their teeth.”
The study, “Obesity and tooth wear among American adults: The role of sugar-sweetened acidic drinks”, was published online on 28 October 2019 in Clinical Oral Investigations, ahead of inclusion in an issue.
When it comes to tooth wear, there are two primary aetiologies that I as a practising dentist encounter most frequently. The first, erosion, is often linked...
NOTTINGHAM, UK: Given what we know about the relationship between rates of obesity and sugar consumption, it would seem to be common sense that children who...
HAMBURG, Germany: Periodontal health can contribute to systemic conditions; recent research has found evidence about the links between gum disease and ...
DUBLIN, Ireland: The negative impact of sugar-laden drinks on oral health is something dentists have known about for many years. However, that these drinks ...
PLYMOUTH, UK: As worldwide oral cancer rates continue to climb, our understanding of what causes the disease to occur, thankfully, also continues to grow. ...
NEWCASTLE UPON TYNE, England: The systematic and oral health effects of smoking are well established, including reduced calcium absorption, altered vitamin ...
Dr Lenka Banasova runs her own dental centre, Pearl Dental, in the Slovakian capital of Bratislava, where she has a passionate staff of dentists, dental ...
LONDON, UK: The Faculty of General Dental Practice (UK) [FGDP(UK)], the only professional membership body in the UK specifically for general dental ...
BORDEAUX, France: Research on children with severe or complex obesity suggests that oral health is often sidelined, despite its close links to overall ...
LOUGHBOROUGH, UK: Most of the UK population visit their dentist annually, and researchers from Loughborough University think that this primary care health ...
Live webinar
Thu. 14 May 2026
5:00 pm UTC (London)
Live webinar
Thu. 14 May 2026
7:00 pm UTC (London)
Prof. Hani Ounsi DDS PhD FICD
Live webinar
Tue. 19 May 2026
4:00 pm UTC (London)
Live webinar
Tue. 19 May 2026
6:00 pm UTC (London)
Prof. Dr. med. dent. Ivo Krejci
Live webinar
Wed. 20 May 2026
12:00 pm UTC (London)
Dr. Graham Carmichael BDSc (Hons), DClinDent (Pros), FRACDS, Dr. Robert Gottlander DDS
Live webinar
Wed. 20 May 2026
2:00 pm UTC (London)
Live webinar
Wed. 20 May 2026
6:00 pm UTC (London)
Prof. Dr. med. dent. Tim Joda PhD, MSc, eMBA
To post a reply please login or register