Cosmetic and implant dentistry has become increasing popular among dentists and patients. As this type of dentistry increases, so does litigation. Legal defence organisations have noted that their highest litigation costs are due to an increase in undiagnosed periodontal disease, as well as poorly planned cosmetic and implant dentistry.
A failure to diagnose periodontal disease, inadequate records, poor quality treatment and treatment planning, supervised neglect, and failure to refer all lead to increased litigation within the profession.
The guidance for standards set by the General Dental Council states that a clinician should work within his or her knowledge, professional competence and physical abilities, should refer patients for a second opinion and for further advice when necessary, and should refer patients for further treatment when necessary.
It is important as the clinician to assess the periodontal condition before starting any restorative dentistry, whether simple or complex. There is very good long-term evidence that once the foundation of the periodontium is stable and good plaque control has been achieved, the restorative treatment will have a better long-term prognosis. This article will briefly discuss the simple tools we have in our surgeries to help diagnose periodontal disease and when to treat and when to refer using the British Society of Periodontology’s referral guidance.
embedImagecenter("Imagecenter_1_653",653, "large");
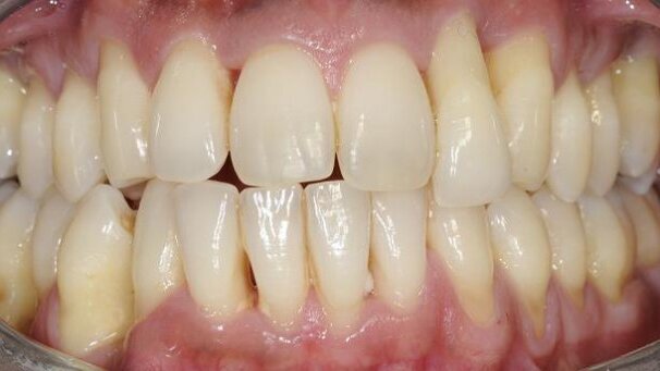
The clinical signs of chronic periodontal disease are gingival inflammation and bleeding, pocketing, gingival recession, tooth mobility and migration, alveolar bone loss and halitosis. Figure 1 shows a patient with gingival inflammation and bleeding on probing with a pocket depth of greater than 5 mm. A good predictor of gingival health is no bleeding on probing, but it is important to note that in smokers the gingival tissues look relatively healthy and in most cases do not bleed on probing, as smoking masks the presence of disease (Fig. 2).
An essential tool for the assessment of the periodontal tissues is the BPE (basic periodontal examination) probe, otherwise known as a WHO 621 probe (Fig. 3). This probe has a ball tip of 0.5 mm in diameter and a black band marked at 3.5–5.5 mm. The BPE is a simple and quick way of screening our patients for any underlying periodontal disease. Williams’ probes are also commonly used to assess the periodontal tissue (this probe has graduated markings at 1–2, 3–5, 7–8, 9–10 mm (Fig. 4).
The BPE was developed by the British Society of Periodontology. It is a method of screening patients to determine the treatment required for the level of disease present. The BPE is an index for treatment need and does not estimate the level of disease present. Rather, a loss of attachment chart is used to determine this.
The BPE divides the mouth into sextants. All the teeth in a sextant are examined and scored accordingly (Table 1). Recently, the British Society of Periodontology has made a slight change to the BPE scoring. Code * has now been changed to denote the presence of a furcation only, whereas previously it was to denote the presence of a furcation or attachment loss of 7 mm or greater. The society has also said that the other BPE codes and Code * should be recorded for each sextant where a furcation is present. An example is shown in Table 2.
A furcation probe or Nabers’ probe is also an essential tool for assessing the degree of furcation involvement of a molar tooth. We can measure the amount of horizontal bone loss that has occurred within the furcation, classifying it as a Class 1, 2 or 3 furcation. The dark bands represent 3 mm markings (Fig. 5). A Class 1 furcation is noted when the furcation probe penetrates less than 3 mm into the furcation (Fig. 6). A Class 2 furcation is when the probe penetrates greater than 3 mm but does not go all the way through the furcation (Figs. 7 & 8). A Class 3 furcation is when the probe passes through the furcation unimpeded (Figs. 9 & 10).
Radiographs are another important tool used to assess the bone levels around each tooth, root morphology and furcation involvement, and therefore the support present and long-term prognosis of the teeth (Fig. 8). Long-cone parallel radiographs or vertical bitewings are taken of sextants when the score is 3 or more (Fig. 11).
Risk factors
The clinician should also be aware of risk factors that can exacerbate the existing periodontal disease: diabetes, smoking and genetics. A combination of these factors makes certain patients susceptible to higher risks of periodontal disease. These cases may be treated in practice but referral to a specialist would be required if the disease is not stabilised. Recognition of risk factors includes
_BPE Codes 3, 4 or * in patients under 35 years old;
_smoking ten or more cigarettes a day;
_a medical condition directly affecting the periodontal tissues, for example diabetes, stress and certain types of medication;
_a root morphology that adversely affects prognosis;
_rapid periodontal breakdown (> 2 mm attachment loss in any one year);
_a high bleeding percentage with a low plaque score; and
_a family history of early tooth loss due to periodontal disease.
Oral hygiene
A high standard of oral hygiene is critical for successful periodontal therapy. There is a great deal of evidence that regular plaque removal around periodontally involved teeth at a level that prevents bleeding on probing leads to a reduction in disease progression. It is essential that the patient be taught simple, yet effective ways to improve his or her plaque control at home with daily use of a rotating-oscillating electric toothbrush and interdental brushes (Fig. 12). A systematic review by the Cochrane Library has shown that a rotating-oscillating electric toothbrush is far more effective at removing plaque.[1]
A study has shown that using the correct size interdental brushes can improve the periodontal condition significantly.[2] A recent systematic review has also shown that flossing by patients has no effect on the plaque index or gingival index and that flossing is not effective in periodontally compromised patients. Interdental brushes have been shown to remove more plaque than flossing.[3]
It is important to motivate your patients to use the largest interdental brushes (Figs. 12 & 13), but this can be a little difficult because they may not be able to see the short-term benefits, as their gums may bleed more and the interproximal spaces will become larger. It is essential to reinforce the same message. This will reassure the patient and after a short time they will see visible benefits, that is, less bleeding on cleaning and a healthier-looking gingiva.
Case report
A 32-year-old male patient was referred to me complaining of loose teeth and bleeding gums for over 12 months. He was fit, apparently healthy and a non-smoker. A diagnosis of generalised aggressive periodontitis was made from the clinical examination (Figs. 14–17). At the consultation appointment, oral hygiene instruction was given and the largest interdental brushes demonstrated. At the following appointment, the full-mouth non-surgical phase was carried out with systemic antibiotics.[4] From Figures 18 to 21, it can be noted that using the correct size interdental brushes can lead to a reduction in inflammation and therefore a reduction in pocket depth.
Eight weeks after the non-surgical phase, the patient was reviewed for a periodontal reassessment. It was noted that the periodontal tissue had responded extremely well to the initial therapy with pocket depth of 3 to 4 mm throughout the mouth (Figs. 22 & 23).
At this point, the patient would be placed on a three-monthly maintenance regime, with reinforcement of oral hygiene instruction and subgingival plaque removal for any deep sites. This would be carried out by his general dentist or hygienist. My plan would be to review the patient in six months’ time to review his periodontal condition.
It is important to know that periodontal therapy works and a healthy periodontium is the backbone of good restorative dentistry. Treating periodontal disease can be challenging but can also be very rewarding. Careful assessment, treatment, referral to a specialist if necessary and monitoring of your patients are essential for avoiding any future problems.
For further information regarding the BPE and referral guidance, contact the British Society of Periodontology or refer to its website: www.bsperio.org.uk.
Editorial note: A complete list of references is available from the publisher.
Dr. David van As explains the value of studying for a Master’s in Clinical Periodontics while continuing to practice: “I enrolled on the College of ...
When purchasing a practice, among the many factors clinicians need to consider is the situation regarding work in progress (WIP), an area that can be ...
BERLIN, Germany: In collaboration with health technology company Philips, the publishing houses of Dental Tribune International and OEMUS MEDIA have ...
The greater and more flexible use of skills mix is steadily becoming one of the most efficient and effective ways of improving treatment outcomes in the ...
Seeking to bring high-quality clinical education to dental professionals, Dentsply Sirona has recently launched the online DS Academy Campus, where it ...
LONDON, UK: Coinciding with World Oral Health Day, Swedish brand FOREO, makers of the world's first electric toothbrush made entirely from silicone, ...
Though routine mentoring has been widely used in other professions as a form of stress management, it remains relatively under-utilised in dentistry for a ...
HUDDERSFIELD, UK: When used correctly, intra-oral scanners offer a wide range of benefits, including increased patient acceptance and reduced chairside ...
Throughout the year our continuing professional development requires us to reflect on the changes we want to bring about in our professional lives, and this...
Canny Dentists is a brand-new social network for everyone working in dental practice. Conceived and founded by dentist Dr. Jatinder Ubhi and advertising and...
Live webinar
Thu. 14 May 2026
5:00 pm UTC (London)
Live webinar
Thu. 14 May 2026
7:00 pm UTC (London)
Prof. Hani Ounsi DDS PhD FICD
Live webinar
Tue. 19 May 2026
4:00 pm UTC (London)
Live webinar
Tue. 19 May 2026
6:00 pm UTC (London)
Prof. Dr. med. dent. Ivo Krejci
Live webinar
Wed. 20 May 2026
12:00 pm UTC (London)
Dr. Graham Carmichael BDSc (Hons), DClinDent (Pros), FRACDS, Dr. Robert Gottlander DDS
Live webinar
Wed. 20 May 2026
2:00 pm UTC (London)
Live webinar
Wed. 20 May 2026
6:00 pm UTC (London)
Prof. Dr. med. dent. Tim Joda PhD, MSc, eMBA
To post a reply please login or register