Search Dental Tribune

Irrigating the root canal: A case report

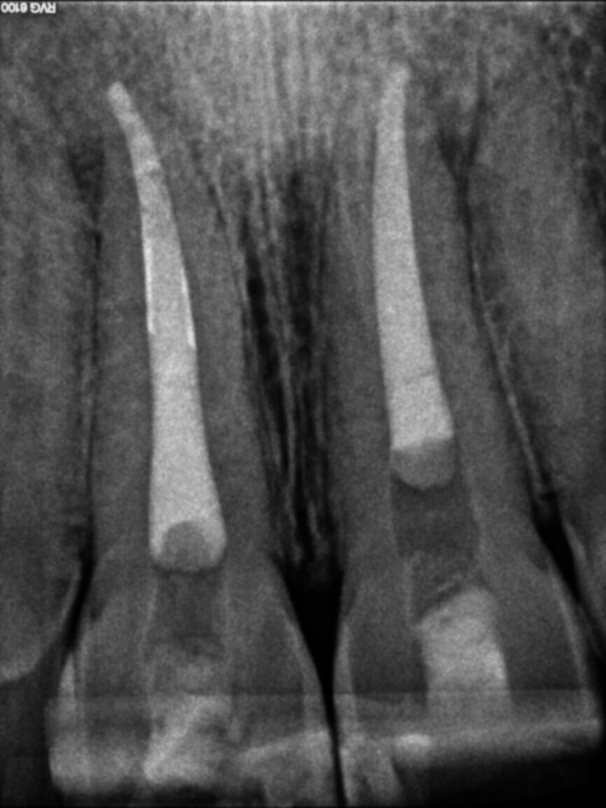
Post-operative radiograph (Image: Dr Vittorio Franco, UK and Italy)
Dr Vittorio Franco, UK and Italy

Dr Vittorio Franco, UK and Italy

Mon. 22 January 2018

save

The patient reported on in this article is a student in dentistry and his parents are both dentists. They referred their son to a good endodontist, who then referred the case to me. As always, peers are more than welcome in either of my practices, in Rome and London, so when I treated this case, I had three dentists watching me, a future dentist on the chair, placing a great deal of pressure on me.

The 22-year-old male patient had a history of trauma to his maxillary incisors and arrived at my practice with symptoms related to tooth #21. The tooth, opened in an emergency by the patient’s mother, was tender when prodded, with a moderate level of sensitivity on the respective buccal gingiva. Sensitivity tests were negative for the other central incisor (tooth #12 was positive), and a periapical radiograph showed radiolucency in the periapical areas of both of the central incisors. The apices of these teeth were quite wide and the length of teeth appeared to exceed 25 mm.

My treatment plan was as follows: root canal therapy with two apical plugs with a calcium silicate-based bioactive cement. The patient provided his consent for the treatment of the affected tooth and asked to have the other treated in a subsequent visit.

After isolating with a rubber dam, I removed the temporary filling, and then the entire pulp chamber roof with a low-speed round drill. The working length was immediately evaluated using an electronic apex locator and a 31 mm K-type file. The working length was determined to be 28 mm.

As can be seen in the photographs, the canal was actually quite wide, so I decided to only use an irrigating solution and not a shaping instrument. Root canals are usually shaped so that there will be enough space for proper irrigation and a proper shape for obturation. This usually means giving these canals a tapered shape to ensure good control when obturating. With open apices, a conical shape is not needed, and often there is enough space for placing the irrigating solution deep and close to the apex.

I decided to use only some syringes containing 5 per cent sodium hypochlorite and EDDY, a sonic tip produced by VDW, for delivery of the cleaning solution and to promote turbulence in the endodontic space and shear stress on the canal walls in order to remove the necrotic tissue faster and more effectively. After a rinse with sodium hypochlorite, the sonic tip was moved to and from the working length of the canal for 30 seconds. This procedure was repeated until the sodium hypochlorite seemed to become ineffective, was clear and had no bubbles. I did not use EDTA, as no debris or smear layer was produced.

I suctioned the sodium hypochlorite, checked the working length with a paper point and then obturated the canal with a of 3 mm in thickness plug of bioactive cement. I then took a radiograph before obturating the rest of the canal with warm gutta-percha. I used a compomer as a temporary filling material.

The symptoms resolved, so I conducted the second treatment only after some months, when the tooth #11 became tender. Tooth #21 had healed. I performed the same procedure and obtained the same outcome (the four-month follow-up radiograph showed healing).

Editorial note: A complete list of references are available from the publisher. This article was published in roots - international magazine of endodontology No. 04/2017.

One thought on “Irrigating the root canal: A case report

  1. The ultimate reason why root canals fail is bacteria. If our mouths were sterile there would be no decay or infection, and damaged teeth could, in ways, repair themselves. So although we can attribute nearly all root canal failure to the presence of bacteria, I will discuss five common reasons why root canals fail, and why at least four of them are mostly preventable.

To post a reply please login or register

MRC European Summit combines education and networking

The MRC European Summit combines expert lectures and workshops with international networking opportunities. (All images: MRC Europe)
MRC Europe

MRC Europe

Wed. 8 April 2026

save

WAALWIJK, Netherlands: From 18 to 20 November, the seventh edition of the MRC European Summit, hosted by Myofunctional Research Co. (MRC), will take place at the company’s European training facility in Waalwijk in the southern Netherlands. The event will bring together dental professionals from around the world interested in the treatment of myofunctional disorders, temporomandibular disorders (TMD) and sleep-disordered breathing (SDB).

The summit programme will cover a wide range of topics through lectures and workshops. Topics include the future of orthodontics through the integration of breathing and myofunctional techniques, as well as addressing underlying causes rather than symptoms using myofunctional orthodontics.

Dr John Flutter focuses on supporting healthy growth, facial development and long-term orthodontic stability.

Dr John Flutter focuses on supporting healthy growth, facial development and long-term orthodontic stability.

Participants will also gain insights into the latest research on myofunctional disorders, TMD, SDB, tongue-tie and soft tissue dysfunction. In addition, practical aspects of implementing MRC’s myofunctional treatment systems in daily clinical practice will be addressed, alongside treatment planning and case discussions.

The workshops will be closely linked to the lectures and led by the speakers themselves, providing practitioners with a direct connection between the latest insights and practical tools for daily practice. The programme will be followed by a variety of social evening events, offering further opportunities to connect with colleagues from different countries.

The event will feature an extensive line-up of internationally renowned experts, including:

  • Dr Steffen Decker, a specialist in lingual orthodontics from the UK, who takes a comprehensive approach to patient development by connecting breathing, dentition, function and growth;
  • Patrick McKeown, founder and CEO of Oxygen Advantage in Ireland, and an internationally recognised breathing expert, author and educator who has trained children, teenagers and adults in breathing techniques that help decongest the nose, improve functional breathing and address habitual mouth breathing; and
  • Dr John Flutter, a UK dentist who has been practising orthodontics for more than 45 years and is a TMD and SDB specialist focusing on techniques to establish nasal breathing, supporting healthy growth, facial development and long-term orthodontic stability.

For more than 35 years, MRC’s treatment systems have helped practitioners around the world treat orthodontic, TMD and airway issues in both children and adults. The company’s appliances—Myobrace, Myosa and Myoretainr—aim to correct poor oral habits, support proper arch development and improve dental alignment by addressing underlying breathing and myofunctional causes.

More information about the event can be found at myoresearch.com.

Tags:
To post a reply please login or register
advertisement
advertisement