In growing patients, early orthodontic treatment can help guide dentofacial development and support effective correction of Class II malocclusion. (Image: Евгений Вершинин/Adobe Stock; clinical images: Dr David Raickovic)
Early intervention in growing patients with skeletal Class II malocclusion aims to reduce sagittal discrepancies, guide dentofacial development and minimise the need for invasive procedures later in adolescence. This case report presents the two-phase aligner-based treatment of a growing male patient with severe Class II, Division 1 malocclusion, increased overjet, traumatic overbite and significant arch constriction.
Initial diagnosis and records
A 10-year-old male patient presented in the late mixed dentition with the chief complaint of severe crowding, protrusive maxillary incisors and traumatic overbite. The patient requested alignment of all teeth and reduction of the maxillary incisor prominence.
Figs. 1a–c: Pretreatment extra-oral photographs.
Fig. 1b
Fig. 1c
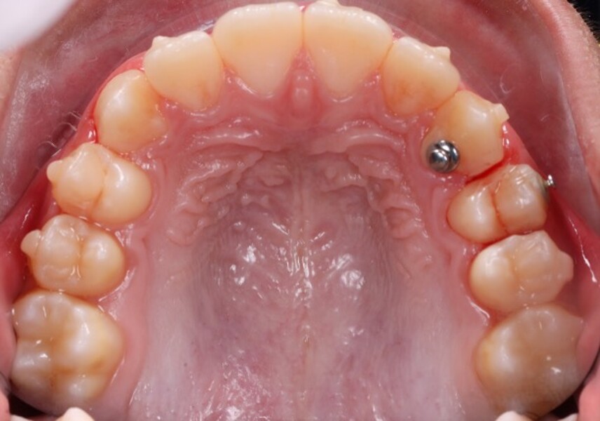
Clinical and radiographic evaluation revealed (Figs. 1–3):
a bilateral full-cusp Class II molar relationship;
an increased overjet of 11.7 mm;
a traumatic overbite of 7.2 mm; and
a narrow, collapsed V-shaped maxillary arch with a 2.0 mm midline deviation to the right.
Cephalometric analysis confirmed a Class II skeletal pattern primarily caused by mandibular retrusion (ANB = 5°; SNB = 69°) and showed reduced mandibular length (94 mm versus a norm of approximately 110 mm; Fig. 4; Table 1). The vertical pattern was normo-divergent (SN/GoGn = 34°). Dentoalveolar analysis showed severe maxillary incisor proclination, pronounced crowding in both arches and an accentuated curve of Spee. Soft tissue analysis showed lower lip entrapment associated with the increased overjet, contributing to an unfavourable facial profile.
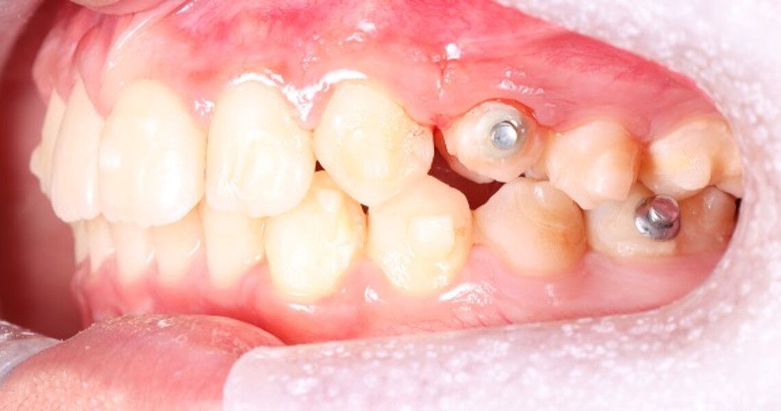
Figs. 2a–e: Pretreatment intra-oral photographs.
Fig. 2b
Fig. 2c
Fig. 2d
Fig. 2e
Fig. 3: Pretreatment panoramic radiograph.
Fig. 4: Pretreatment cephalometric tracing superimposed on the lateral cephalogram.
Table 1: Initial cephalometric analysis showing sagittal, vertical, basal and dental measurements compared with reference norms.
Treatment objectives
The primary objectives were to:
expand and develop the maxillary arch using aligners;
reduce the overjet and correct the Class II relationship;
correct the traumatic overbite and level the curves of Spee and Wilson;
create and maintain space for eruption of permanent teeth; and
improve lip competence, smile aesthetics and lower facial third height.
Treatment planning and rationale
Extraction of the maxillary first premolars was considered as an alternative; however, given the patient’s growth potential and soft-tissue profile, a non-extraction approach was preferred. While a combination of rapid maxillary expansion and mandibular advancement appliances could have been used, maxillary expansion with aligners alone, combined with Class II elastics, was selected. This approach aimed to:
achieve transverse maxillary development;
promote mandibular advancement through continuous elastic wear; and
retract the maxillary incisors and reduce the overjet simultaneously.
Figs. 5a–c: Extra-oral photographs after the first phase of treatment.
Fig. 5b
Fig. 5c
First phase of treatment
The initial aligner series consisted of 20 stages per arch, and the aligners were changed every ten days and worn for 22 hours per day. During treatment, eruption of the permanent premolars and canines led to reduced aligner fit, requiring refinement with an additional series of aligners.
The first phase of treatment was completed after approximately 18 months. At completion, all the permanent teeth had erupted, allowing immediate transition into the second phase of treatment on the same day.
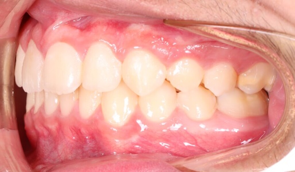
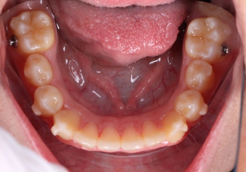
At the end of the first phase of treatment, the clinical findings included (Figs. 5 & 6):
Class I molar and canine relationships on the left side;
half-cusp Class II relationships on the right side;
normal overjet (2.0 mm) and overbite (2.5 mm); and
a posterior open bite, particularly on the left side.
Cephalometric analysis showed that the sagittal discrepancy had been significantly reduced (ANB = 3.7°; Wits = 1.8 mm). Mandibular length remained below normative values.
The second phase of treatment and results
The treatment objectives of the second phase of treatment focused on:
correction of the posterior open bite;
finalisation of a bilateral Class I relationship;
intrusion of the maxillary incisors and final levelling of the curve of Spee;
settling and detailing of the occlusion; and
optimisation of facial aesthetics and lip competence.
Figs. 6a–e: Intra-oral photographs after the first phase of treatment.
Fig. 6b
Fig. 6c
Fig. 6d
Fig. 6e
Table 2: Final cephalometric analysis showing sagittal, vertical, basal and dental measurements compared with reference norms.
The second phase of treatment was completed within four months using aligners only. No alternative treatment was considered, as the first phase of treatment had produced a favourable skeletal and dental foundation.
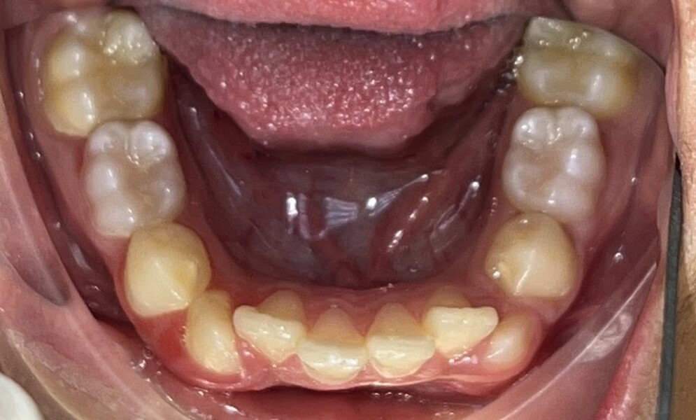
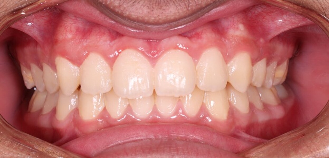
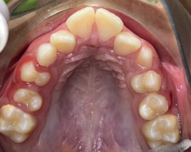
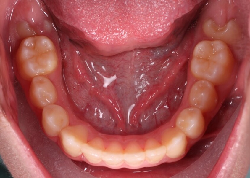
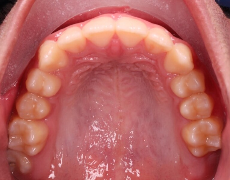
The final records demonstrated (Figs. 7–9; Table 2):
stable bilateral Class I molar and canine relationships;
normalised overjet and overbite;
well-aligned dental midlines coinciding with the facial midline;
fully developed, symmetric and parabolic dental arches; and
absence of root resorption and satisfactory root parallelism.
Radiographic evaluation showed symmetrical mandibular structures and normally seated condyles, and no pathology was detected. The findings showed correction of the skeletal Class II relationship primarily through improvement in mandibular position, as well as showed normalisation of overjet and overbite and establishment of a more balanced skeletal and dental relationship.
Figs. 7a–c: Extra-oral photographs after the second phase of treatment.
Fig. 7b
Fig. 7c
Follow-up
At the 16-month follow-up, the occlusion and alignment remained stable. The patient had been instructed to wear Essix retainers full time for six months, followed by lifelong night-time wear. Overjet, overbite and intercuspation remained unchanged, and facial aesthetics were preserved.
Figs. 8a–e: Intra-oral photographs after the second phase of treatment.
Fig. 8b
Fig. 8c
Fig. 8d
Fig. 8e
Figs. 9a & b: Pre-treatment (black) and final post-treatment cephalometric tracings (red).
Fig. 9b
Conclusion
This case illustrates that, in selected growing patients, a carefully planned two-phase aligner-based approach combined with Class II elastics can effectively manage skeletal Class II, Division 1 malocclusion without extractions or functional appliances. Sagittal correction was achieved through a combination of mandibular advancement and controlled dentoalveolar movements, while vertical control prevented worsening of the overbite.
Beyond occlusal correction, the treatment produced meaningful soft-tissue improvements, particularly in the lower facial third, including improved lip posture and reduced mento-labial groove depth. The results remained stable at follow-up, supporting the viability of aligner therapy as an interceptive and comprehensive treatment option in growing patients when appropriately indicated.
I am delighted to have been asked by Dental Tribune International to share my observations and thoughts about where we are heading over the next few years ...
In this article, I present a restorative case study that demonstrates how I used the new iTero Element 5D Plus digital scanner at several stages in the ...
Dr Robbie Hughes is a leading figure in digital dentistry, and his clinical expertise is supported by extensive postgraduate training in implantology, ...
With oral cancer rates continuing to increase worldwide, it has become clear that more needs to be done to raise awareness and combat this issue. Dental ...
LONDON, UK: Digital technologies have changed the way in which we live and the ways in which we align teeth. According to leading UK orthodontic specialist ...
Diabetes mellitus (DM) is a chronic metabolic disorder that has emerged as a major global health concern. It is broadly classified into two main types. Type...
Piers Linney, MBE, is a British entrepreneur, former Dragons’ Den investor and business speaker with a background in law, finance and digital technology. ...
With its GCP product range featuring Glass Carbomer technology, GCP Dental is introducing its unique restorative portfolio on a large scale to the dental ...
Education
Live webinar Tue. 19 May 2026 4:00 pm UTC (London)
BIRMINGHAM, England: The British Dental Conference & Dentistry Show 2026 opened today at the NEC in Birmingham. Free to attend for dental professionals,...
Dentistry demands clinical precision, often within tight time constraints and under pressure to meet patients’ expectations, but effective practice ...
LONDON, England: Dental training has been evolving rapidly in recent years alongside digital technology, reshaping how dental students are taught, assessed ...
To post a reply please login or register