Search Dental Tribune

Full-mouth restoration with Zolid FX— a successful concept for sophisticated prostheses

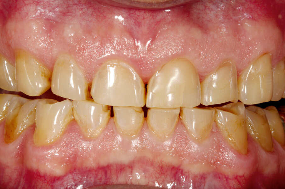
Pronounced abrasion due to bruxism, resulting in significant loss of the vertical dimension. (Image: Joachim Maier)

Tue. 24 August 2021

save

The patient case outlined here describes the challenges that prostheses have to meet under high stress. The patient presented to the practice with pronounced abrasion and asked to have his natural dental appearance restored. Full-mouth restorations have their own challenges, and this was particularly so for this patient, who tended to relieve his daytime stress by grinding his teeth at night. After completion of pretreatment and splint therapy, the patient presented to us with the status shown in Figures 1 and 2.

Goal definition

Our task was to fabricate prostheses which, in addition to their natural aesthetics, could withstand high mechanical stress and offer corresponding durability. The patient and clinician wanted all-ceramic restorations consisting of single crowns in the maxillary and mandibular regions, except for a three-unit bridge in the fourth quadrant. The restorations were to be fabricated at the occlusal height specified during splint therapy. This was specified to us via a corresponding occlusion registration record.

Choice of materials and design

We always attempt to use only a single material for each case or restoration. Different ceramics have different light properties, which can be an optical disadvantage. For restorations consisting exclusively of single crowns, we usually choose veneered zirconia and in exceptional cases also lithium disilicate. The bond between lithium disilicate and veneering ceramics demonstrates higher strength than between zirconia and corresponding veneering ceramic. However, we appreciate the concentration of zirconia as a universally applicable material for frames. With a limited choice of materials, we can gain maximum experience and thus achieve a very high level of production reliability and predictability of the results.

Depending on the mechanical stress, we select a different thickness for the veneering ceramic on zirconia. In the case of extreme stress, we also dispense with a glaze in the functional area of the contact points.1 For bruxism patients, however, we choose unveneered lithium disilicate for individual crowns in the posterior region, as the natural abrasion and associated loss of height observed for this material are similar to that of natural teeth. Unveneered, smooth-polished zirconia would exhibit less loss of height over the years and would result in uneven abrasion of the teeth, having unforeseeable consequences. Our standard solution is thinly veneered zirconia if only a few teeth are to be restored, for example in the case of isolated gaps. In this case, we decided to partially veneer the crowns and the bridge owing to the exceptional mechanical stress on the prostheses.

The visible vestibular parts were to be veneered with the Creation CT veneering ceramics. We wished to place the transition to the unveneered area outside the heavily stressed functional paths and static contact zones. At the time of fabrication, we had ZI, Zolid and Zolid FX (Amann Girrbach) at our disposal. Owing to the small bridge span, we selected the superhigh-translucency material Zolid FX Multilayer (Amann Girrbach) for the full-mouth restorations, including the bridge from tooth #45 to tooth #47. The tooth stumps were not significantly discoloured. This allowed us to make full use of the optical advantages of the translucent material. To achieve maximum individuality, the Zolid FX multilayer crowns were partially stained with liquids before sintering. It is recommended to use a pre-stained blank that is slightly lighter than the tooth shade to be achieved in order to avoid a restoration that is too dark.

Design of the functional areas

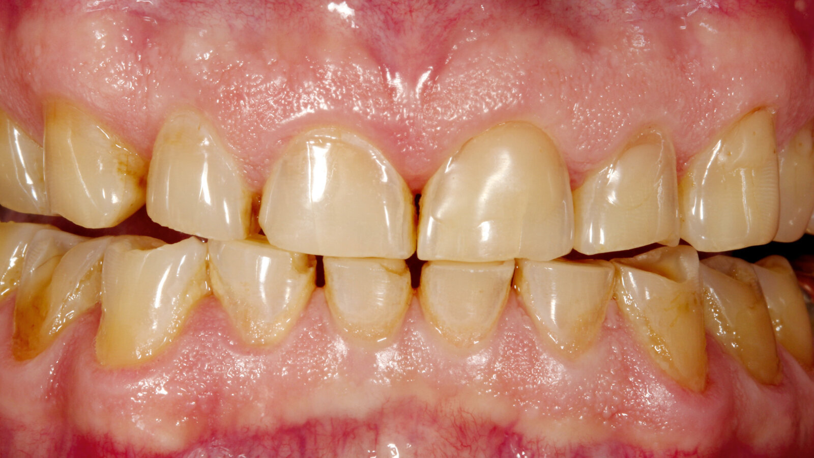
In virtual design, we try to create as few occlusal contact points as possible. We consider this to be sufficient if the tooth can be loaded axially. A reduced number of occlusal contacts helps us to keep the dynamic function under control. This is absolutely necessary in the case of extremely hard zirconia, as defects in this area can lead to unforeseeable consequences for the softer components of the masticatory organ. Our occlusal design can be viewed as an example in Figures 3 and 4. The areas to be veneered are defined with some distance to the contact paths and surfaces. Normally, we extend the cut-back to such an extent that small optical optimisations of the incisal cutting edge are possible through the individual layering technique of the veneer, particularly in the anterior region. The anterior teeth are therefore often given a cut-back that runs approximately in the middle of the incisal edge in a mesiodistal direction. However, in patients where extreme functional loading can be expected, this boundary line runs all the way along the outer buccal edge of the abrasive surface to prevent chipping under these particular conditions.

The surface quality of zirconia

In this case, the unveneered areas of zirconia were provided with a surface structure prior to sintering. Figures 5 to 9 show the tools, work steps and results of surface characterisation prior to sintering. The powerful characterisations can only be performed by hand with a coarse stone, for example, without the use of a motor. These structures are subsequently smoothed again slightly at the raised areas with mostly smoother surfaces. It is important that these structures are not applied to bridges in tensile stress areas, to prevent any possible initial formation of cracks. Finally, the fissures are reworked if necessary. Figures 10 and 11 demonstrate this final processing step before cleaning, infiltration and sintering. The small contact and guide surfaces on zirconia must be polished to a high gloss after sintering and grinding to prevent mutual abrasion and early failure of the restoration. The analysis of an internal study by our laboratory showed that polishing with a diamond polisher or the finest diamond grinder largely removes the deep surface damage caused by a Rotring diamond bur. The success of this approach has been confirmed by Coldea et al.2: if final sintered Y-TZP is processed with coarse abrasives, subsequent polishing is absolutely necessary. It is recommended to grind or polish gradually with increasingly finer grinders or polishers. The surfaces are smoothed with suitable diamond silicone polishers, that is, the spikes are removed without causing any further surface damage. This can be facilitated quite easily, for example, with the polishing sets in Figures 12 and 13.

In contrast to veneering ceramics or lithium disilicate, our polished zirconia samples have very low roughness depths. The smooth surface of final sintered zirconia that can be achieved by polishing also has advantages in abrasion behaviour compared with veneering ceramics. Preis et al. came to this conclusion in a comparison of the abrasion behaviour of zirconia and veneering ceramics on natural enamel.3 Abrasion caused by zirconia was considerably less than that of veneering ceramics. Owing to the veneering ceramics, the antagonist exhibited a roughened surface and partially also cracks and fractures in the enamel. The contact surfaces with zirconia were polished.3 In an in vitro study, Sripetchdanond and Leevailoj showed that monolithic zirconia had a lower wear depth on human enamel than glassceramic and human enamel did.4 The best result of our laboratory test regarding the lowest roughness depth was obtained with an epoxy resin-bonded, diamond-containing stone. The remaining surface structures were efficiently polished with two-stage diamond polishers as shown in Figure 13. The surface quality can be further increased with a subsequent glaze layer. However, one must allow for abrasion of the glazing material in the functional area. A meticulously smoothed surface is therefore a prerequisite for long-term success. Nevertheless, we now avoid the use of glazing material as far as possible, as solubility and a surface that tends to roughness in an acidic environment in the long term have been observed and discussed critically in the literature.

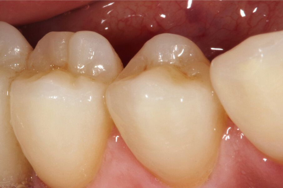
After sintering, the surface was again smoothed with diamond silicone polishers in wheel and brush form (Figs. 14–16). High-gloss polished zirconia tends to have a mother-of-pearl-like shine, which does not really resemble a natural tooth. We therefore try to polish only those parts which are in direct contact to a high gloss. All other areas receive a rather matt finish, easily visible at the crowns of this patient case as shown in Figure 17. The nature-like translucency of Zolid FX (Fig. 18) makes it possible to manage it with a reduced veneer thickness. The Zolid FX frame material with its dentinecoloured shade assumes parts of the optical dentine core. The fluorescence is applied with a fluorescent liner before veneering.

Goal achieved?

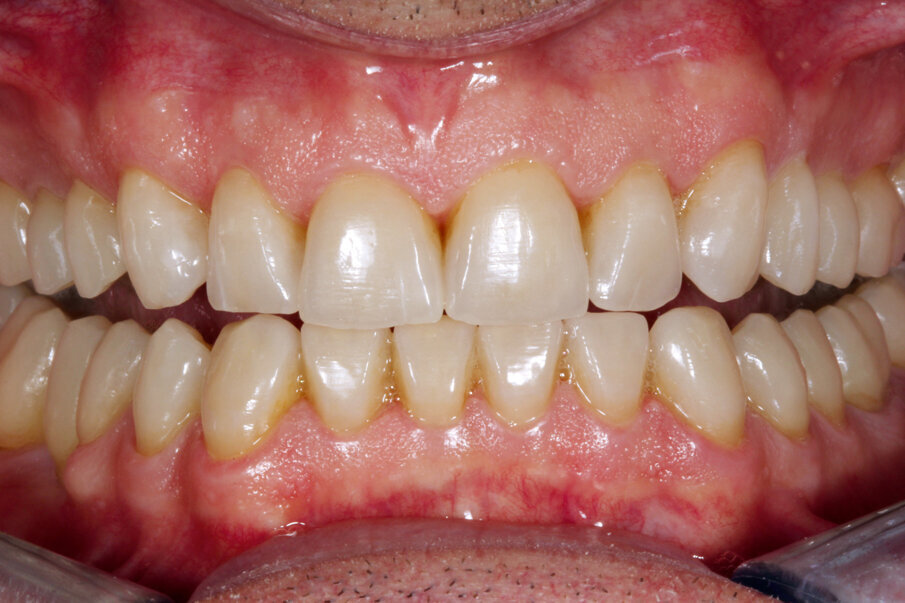
The work was tried in as an intermediate step in the mouth. The shade and natural appearance with incisal facets and enamel cracks both suited and pleased the patient. The occlusal contacts were checked by the dentist with shimstock and, where necessary, discreetly optimised with a Rotring diamond burr and subsequent polishing in analogy to the laboratory procedure. Back in the laboratory, we finished the work with glaze firing without glazing material (Fig. 19). The cemented restorations looked authentic and inconspicuous in the mouth (Figs. 20–23). The patient and our dental partner were both very satisfied with the restorations. The near-natural appearance exceeded the expectations of the patient. He considered the reconstructed occlusal height and function to be very comfortable.

Acknowledgement: Our thanks go to Dr Cornell Lischka for the excellent cooperation.

Editorial note: This article first appeared in BYT—Another Dental Magazine in March, 2019, and an edited version is provided here with permission from Amann Girrbach. A list of references is available from the publisher. This article was published in CAD/CAM―international magazine of digital dentistry vol. 12, issue 1/2021.

Tags:
To post a reply please login or register
advertisement
advertisement