Successful root canal treatment outcomes can be achieved through a step-by-step approach that incorporates advanced techniques, precise tools and a focus on patient-centred care. (Image: edwardolive/Shutterstock; all clinical images: COLTENE/Dhiraj Arora)
The patient was referred for root canal treatment (RCT) of tooth #36, the referring dentist having had difficulty in locating the root canal orifices. The patient reported being advised by her general dentist that she required RCT, as she had extensive caries in the tooth. She had been in continuous pain after her dentist had tried to locate the nerves; however, this had not helped. The patient told me that the tooth had not felt right since the treatment had been initiated and that she would like the pain to stop. She had been taking analgesics and been prescribed a course of antibiotics.
Examination findings
Extra-orally, no abnormality was detected. The intra-oral examination revealed an attempted extirpation; however, gross mesial caries had not been removed. The tooth mobility was Grade 0. The tooth was slightly tender to percussion, and there was mild buccal tenderness to palpation. There was no endodontic-related pocketing when the probe was walked around the gingival crevice. No evidence of a sinus tract or intra-oral swelling was found. A preoperative radiograph showed extensive mesial caries and a previous attempt at locating the canals. There was no obvious periapical pathosis radiographically (Fig. 1).
Diagnosis and treatment plan
A diagnosis was made of symptomatic periapical periodontitis of tooth #36 and previously initiated treatment. The options regarding this tooth were to extract the tooth, leave the tooth untreated or perform RCT with cuspal coverage. The patient was warned that, if left untreated, an acute flare-up could occur at any time and the tooth could have a poorer prognosis due to persistent infection. For RCT, the patient was informed that we would first have to investigate the restorability of the tooth considering the extensive mesial caries, and if unrestorable, then an extraction may be required. The patient was happy to proceed with RCT. Consent was obtained after explaining the risks and benefits, including the risk of reinfection and the complex anatomy.
Fig. 1: Pre-op radiograph.
Fig. 2: Dental dam isolation.
Fig. 3: After caries removal, showing the deep mesial margin.
Treatment at the first visit
Local anaesthesia was administered with 4.4 ml of 2% lidocaine hydrochloride with 1:80,000 adrenaline via buccal infiltration and inferior dental nerve block. A dental dam was placed over teeth #37–34 using a HYGENIC Fiesta #7 clamp (COLTENE) and double floss ties to provide a tight seal (Fig. 2). The tooth was reassessed with caries removal having been carried out (Fig. 3), and four orifices located. The mesial cavity margin was deemed restorable; however, deep marginal elevation would be required. A decision was made to carry out the deep marginal elevation after cleaning and shaping of the root canal system to improve or maintain access to the root canal system.
Fig. 4: HyFlex EDM OGSF file sequence.
A glide path was created using #6, 8 and 10 K-Flex files (Kerr Dental). Throughout the procedure, the canal was irrigated with an enhanced sodium hypochlorite solution applied using IrriFlex syringe irrigation (Produits Dentaires). The working lengths were established using a Root ZX apex locator (Morita): 21.0 mm for the mesiobuccal canal (reference point: distobuccal cavity wall); 22.5 mm for the mesiolingual canal (reference point: distobuccal cavity wall); 21.5 mm for the distobuccal canal (reference point: distobuccal cavity wall) and 21.0 mm for the distolingual canal (reference point: lingual cavity wall).
Cleaning and shaping was completed using the HyFlex EDM OGSF file sequence and CanalPro X-Move motor (all COLTENE) sequentially. Owing to their controlled memory, these files follow the anatomy of the canal, thus significantly reducing the risk of ledging, transportation or perforation of a canal. Like stainless-steel files, HyFlex files can be prebent, facilitating access to the root canal system. Using them in combination with the CanalPro X-Move motor, which enables monitoring of working length throughout shaping using the built-in apex locator, I was able to navigate the root canal system to achieve a safe, effective and predictable mechanical preparation.
Fig. 5: Master point radiograph.
The new HyFlex EDM OGSF sequence includes the new Orifice Opener file and Glidepath file for achieving an effective glide path, as well as the Shaping file for shaping the root canal over the full length (Fig. 4). The canals were prepared to the size and taper of the 30/0.04 Finishing file using tactile controlled activation with continuous irrigation using the sodium hypochlorite solution throughout the procedure. The defined treatment procedure makes the preparation easy and keeps the process of learning the treatment using this sequence manageable.
After apical gauging, matching Hyflex EDM gutta-percha points were placed, and a master point long-cone periapical radiograph of tooth #36 was performed to assess the apical extent of the master gutta-percha points (Fig. 5). Reporting showed a potential obturation to within 2 mm of the radiographic apex.
The canals were dried with paper points, a calcium hydroxide paste was placed in the canals and PTFE tape was used in the pulp chamber space. In order to improve the fracture resistance of the tooth in between appointments, deep marginal elevation was carried out with composite for the mesial marginal ridge, utilising a band-in-band technique. The tooth was temporarily restored with a glass ionomer cement, and the occlusion and contacts checked (Figs. 6–8).
The patient was told to expect some postoperative pain and tenderness and advised to take analgesics and avoid having anything hard on the tooth, owing to the risk of fracture. She was also advised about the possibility of an acute flare-up and/or swelling in the area, alongside the possibility of tenderness from the temporomandibular joint. If any of these scenarios were to occur, she was to use anti-inflammatories and cold compresses and contact the dental practice.
Fig. 6: Band-in-band technique using a sectional matrix within a deep marginal elevation band to restore the marginal ridges.
Fig. 7: After deep marginal elevation and restoration of the marginal ridges of tooth #36.
Fig. 8: Interim glass ionomer cement restoration placed to allow re-establishing of access to the canals at the next visit.
Fig. 9: Hyflex EDM Finishing file in situ using tactile controlled activation.
Fig. 10: Canals being dried using Hyflex EDM paper points.
Fig. 11: Using the MST tip to deliver One-Fil bioceramic sealer into the canals.
Restoration at the second visit
For her next visit, the plan was to obturate and provide a coronal seal with a direct permanent restoration. The patient reported that she had experienced no pain or discomfort since the last visit and thus wished to proceed with the treatment. She was again made aware of the risks and confirmed her consent.
Once again, the treatment was delivered under local anaesthesia with 4.4 ml of 2% lidocaine hydrochloride with 1:80,000 adrenaline via buccal infiltration and inferior dental nerve block. A dental dam was placed over teeth #37–34 using a HYGENIC Fiesta #7 clamp and double floss ties to provide a tight seal. The tooth was accessed and the four orifices relocated using a microscope and ultrasonic tips.
Fig. 12: Placement of Hyflex EDM gutta-percha master points to working length.
Fig. 13: Cutting of the coronal portion of the gutta-percha points using the System B Heat
Fig. 14: After obturation.
Fig. 15: After composite core build-up.
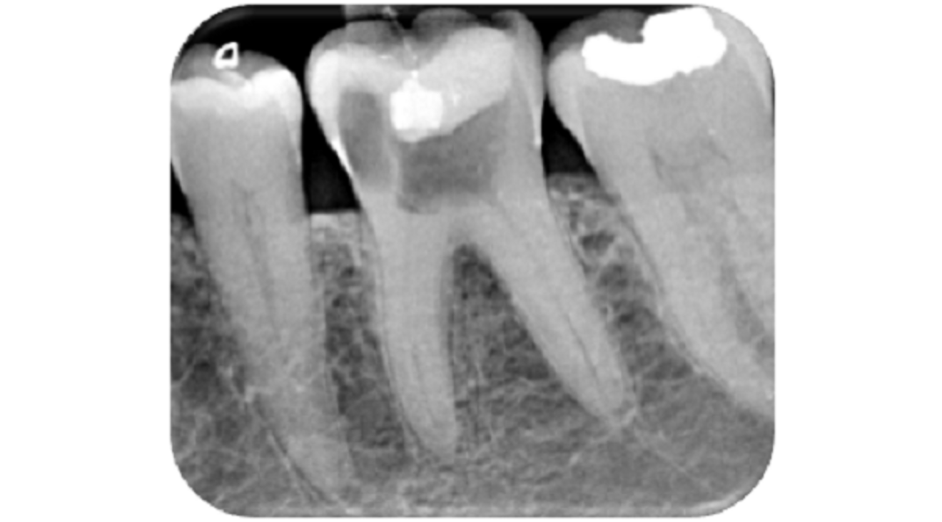
Fig. 16: Post-op radiograph showing the well-condensed obturation to within 2 mm of the radiographic apex and an adequate coronal seal provided by the composite restoration.
The working lengths in each canal were re-established using a 30/0.04 HyFlex EDM Finishing file with continuous irrigation throughout using a sodium hypochlorite solution applied through an IrriFlex needle (Fig. 9). Mechanical agitation of the irrigant was performed with well-fitting gutta-percha points using long vertical strokes and 30 seconds of ultrasonic activation of the irrigant in each canal. The canals were then rinsed with 17% EDTA for 1 minute, followed by sodium hypochlorite as the final rinse. The canals were dried with 30/0.04 Hyflex EDM paper points (Fig. 10).
The canals were obturated using a single-point bioceramic technique. One-Fil bioceramic sealer (MEDICLUS) was delivered into the canals using an MST tip (Fig. 11). Matching master points with sealer were placed to working length, and a heat source was used to remove the coronal portion of the points (Figs. 12–14). The tooth was etched, bonded and restored with composite resin (Fig. 15), and the occlusion and contacts were checked.
The patient was advised to take analgesics to relieve any discomfort and to expect some pain and possible tenderness of the tooth. Again, she was also advised about the possibility of an acute flare-up and/or swelling in the area, and the possibility of tenderness from the temporomandibular joint. If any of these scenarios occurred, she was to use anti-inflammatories and cold compresses and contact the dental practice. A master point long-cone periapical radiograph was taken for postoperative assessment of the endodontic treatment and confirmation of coronal seal. Reporting showed that the obturation was well condensed and within 2 mm of the radiographic apex. The patient was advised to see her general dentist for review and left happy (Fig. 16).
LEICESTER, UK: In March 2005, a 38-year-old British soldier stationed in Germany lost his ability to form new memories after undergoing a regular root canal...
LONDON, UK: A new method of detecting bacteria during root canal therapy could eradicate the need for follow-up appointments and prevent treatment failure, ...
VEVEY, Switzerland: Introduced by Swiss endodontic company Produits Dentaires (PD) at the 2019 International Dental Show, EssenSeal is an innovative sealer ...
The patient reported on in this article is a student in dentistry and his parents are both dentists. They referred their son to a good endodontist, who then...
DUNDEE, Scotland: Management of irreversible pulpitis in permanent teeth is undergoing a gradual but meaningful shift. Advances in diagnostic understanding ...
A new generation of irrigation needle designed and manufactured by Swiss endodontic company PD (Produits Dentaires) enables more effective cleaning and ...
LONDON, England: Although periapical periodontitis can increase systemic inflammation and is associated with cardiovascular risk and impaired glycaemic ...
LONDON, UK: When it comes to implants, good outcomes and high predictability are crucial. In a free upcoming Straumann Group webinar on Thursday, 21 ...
Dr Robbie Hughes is a leading figure in digital dentistry, and his clinical expertise is supported by extensive postgraduate training in implantology, ...
Education
Live webinar Thu. 30 April 2026 12:00 am UTC (London)
To post a reply please login or register