In the US over 500,000 implants are placed each year, whilst in the UK that figure was around 140,000 for 2010. The prevalence of peri-implantitis has been reported to be up to 29%[1] most notably in patients whose implants are placed within a partial dentition. This yields a potentially vast number of implants, possibly as many as 185,000 in the US and UK alone that might succumb to some form of peri-implant disease on an annual basis.
The bacteria found within peri-implant lesions are similar to those found in deeper periodontal pockets [2,3], and cross infection by periodontopathogens as a primary aetiology has been implicated as a possible pathway. However the wide variety of implant designs, surfaces etc. make the treatment of peri-implantitis much less predictable and subject to much greater variability than periodontal disease, where natural teeth present a known anatomy and well defined surface structure.
In 2008 a systematic review[4] of the literature regarding peri-implantitis using PubMed and the Cochrane library revealed little consensus on the treatment of this troublesome condition. One study reported on the efficacy of sub-mucosal debridement using ultrasonics or carbon fibre curettes[5], while two others compared the effect of an Er:YAG laser against that of mechanical debridement and 2% chlorhexidine as a combined therapy.[6,7] The first found similar results between laser and combined therapies, while the second concluded that the laser effect was limited to a six month period. A further study compared combinations of oral hygiene instruction, mechanical debridement and topical minocycline with a similar regime which substituted 1 % chlorhexidine as the antimicrobial.[8] The former seemed to confer some benefit while the latter showed limited or no clinical improvements. Finally, a study comparing two bone regeneration procedures reported clinically significant improvements mediated by both.[9]
Nonetheless a multitude of other studies have also been published reporting on the efficacy of tetracycline[10], CO2 laser[11], and photocatalytic decontamination amongst others in the treatment of peri-implantitis.[12] Such a plethora of therapies makes it difficult for the clinician to choose a regimen that is both within the reach of the average clinician and has some documented reliability.
Risk factors
There have been a number of risk factors cited for peri-implantitis. Recently, in a study published in the Journal of Clinical Periodontology, a clear association was demonstrated through multi-level statistical analysis between risk of peri-implantitis and location, specifically the maxilla, while overt peri-implantitis was shown to be highly correlated to patients with a predisposing history of periodontitis, and being male.[13] Surprisingly in this particular study no correlation was demonstrated with smoking, yet this has been a consistently cited risk factor in many other studies. Indeed in a study published in the Swedish Dental Journal in 2010, the percentage of implants with peri-implantitis was significantly increased for smokers compared to non-smokers (p = 0.04).[14]
Other factors that have been implicated include excess cement, poor oral hygiene, and prosthesis design which are of course inter-related with some prostheses making effective oral hygiene untenable, while others present deep margins that make removal of excess cement almost impossible.
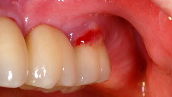
Warning signals
Peri-implantitis rarely presents unannounced unless of course the patient fails to be placed on a regular recall programme or fails to attend for regular review. Early signs are often apparent in the form of peri-implant mucositis. This condition is characterised by mucosal oedema, rubor and bleeding on probing (BOP). By definition it is not associated with purulence or bone loss. However this condition is often asymptomatic to the patient and as such is typically only diagnosed at routine recall. Hence there is a need to recognise that when implant treatment is completed the patient should remain on annual reviews for at least the first five years, and thereafter once every two years.
On presentation with mucositis a combination of mechanical debridement and sub-mucosal decontamination and antimicrobial therapy are indicated. The treatment should be repeated three times within a two week period, so-called Triple Therapy (Norton M). The protocol is as follows:
- Mechanical scaling of implant surface with titanium or carbon fibre curettes.
- Sub-mucosal irrigation with 5-10mL chlorhexidine (0.2%) per site, at the deepest level of the pocket on all sides of the implant.
- Application of Minocycline Gel 2% (Dentomycin, Henry Schein Ltd) at the deepest level of the pocket on all sides of the implant.
However once peri-implant mucositis has taken hold it is unfortunate that it is often exacerbated by the design of implants today. The presence of a rough surface, taken to the top of an implant, and the application of microthreads or grooves have been proposed as potential confounding factors for the advance of the lesion due to biofilm formation and bacterial contamination of the surface which leads to bone loss and further surface exposure. With advancing bone loss it often results in colonisation of the deeper pockets with well known periodontopathogens and infection ensues. This then is peri-implantitis.
Peri-implantitis is characterised by the presence of vertical or crater-like bone defects and spontaneous purulence and bleeding on palpation. It is typically associated with deep peri-implant pocketing > 5mm. This condition is undoubtedly of increasing concern due to some principle factors, such as the almost exclusive use of roughened implant surfaces, the treatment of partially dentate patients with a history of periodontal disease, the placement of implants with inadequate bone volume resulting in facial dehiscences, as well as the use of cement retained prostheses.
Implants with a micro-roughened surface texture have presented excellent long-term data and until recently there has been very little published in the literature demonstrating a susceptibility of these surfaces to this condition. However recent work by Albouy et al[15,16] has received widespread attention with concern for the evidence that suggests some modern micro-textured surfaces may be completely resistant to decontamination.[16]
Ultimately, if left unchecked and untreated, it may become impossible to arrest the condition, leading to wholesale failure of the case. Such failures impose a tremendous strain and burden on the clinician (let alone the patient), destroying the confidence of a patient who has endured significant expense and trauma and occasionally results in a breakdown of communication between both parties that all too often sadly results in a legal claim of negligence. Such claims can be hard to defend for patients where no warnings and/or supportive periodontal/peri-implant therapy have been undertaken.
Treatment typically requires surgical access to excise any fibrous capsule and for direct access to the implant for surface decontamination. The author’s preference until now has been to use chlorhexidine and tetracycline solution for this purpose while others have reported the use of citric acid and hydrogen peroxide amongst others[17]. The use of lasers has also been extensively reported.[6,7,18-20] However in a recent systematic review a meta-analysis could only be done for Erbium YAG laser as the literature on all other laser types was weak or heterogenous.[21]
The author has recently completed the acquisition and treatment of 20 patients in an efficacy study using ErbiumYAG water laser (Morita, AdvErl Evo) and it is hoped that publication of the results will be forthcoming. Indeed promising data has already been published to date using this same machine.[22,23]
Nonetheless this methodology remains outside the reach of most general practitioners and has yet to be proven predictably effective. As such most attention therefore remains focused on physical debridement via surgical intervention and topical antimicrobial therapies. Open flap debridement, defect decontamination, and repair as well as pocket elimination have all become the mainstay of those treating this condition.
So is there a crisis? The problem is that there is no clear consensus on the prevalence of the disease since this will vary according to the cut off values for the clinical parameters measured24 and to date there appears to have been little consensus of these cut off values. As such estimates of incidence of the disease appear to vary from 28% to 56% of subjects and 12% to 43% of implant sites.[25]
Furthermore there is an ongoing controversy about the initiating process of peri-implant disease since it is potentially considered a primary infection of periodontopathic origin by some[26] while others hold that it is a secondary opportunistic infection subsequent to bone loss caused by other etiological factors[27] such as a provoked foreign body reaction or iatrogenic dehiscence of the bone, exogenous irritants such as dental cement, bone loss through occlusal overload etc. If the latter is true then controlling the disease is theoretically made more simple by controlling the conditions for the implant, such as ensuring adequate buccal bone thickness, avoiding or controlling more carefully the use of dental cement, and paying closer attention to the occlusion.
In an effort to gauge the rate of mucositis and peri-implantitis requiring surgical intervention, the author audited his patient pool in the year 2014. Out of a total of 191 patient reviews constituting 795 implants only 15 patients (7.9%) required triple therapy at 20 implants (2.5%) for mucositis while 10 patients (5.2%) required surgical decontamination at 10 implants (1.3%).
As can be seen this is well below the figures proposed in the article by Zitzmann & Berglundh (2005).[25] This may of course reflect a more liberal approach to cut off values for parameters such as pocket depth and bleeding on probing as proposed Klinge in 2012.
Nonetheless after over 20 years running a practice dedicated to implant dentistry the author’s own audited failure rates indicate that less than 1% of implants present as late failures, owing to peri-implantitis or fixture fracture as a result of bone loss. This would corroborate the findings by Jemt et al in which a cohort of patients already diagnosed with peri-implant bone loss showed a slow rate of additional progressive bone loss over a 9-year follow-up with an implant failure rate of 3%.[28]
In all likelihood it is the author’s view that peri-implantitis is only a crisis if we allow bad implant dentistry to persist where there is a lack of control of the initiating factors as described above, and that it is more rather than less likely that it is the result of a secondary opportunistic infection rather than a direct susceptibility to primary infection of periodontopathic origin. However, there will clearly be some patients with a high genetic susceptibility with other predisposing factors such as the presence of untreated periodontal disease, smoking and diabetes who may well succumb as a result of primary infection.
Furthermore there remains a clear need to better define the different types of peri-implant disease and to establish a consensus as to the cut off values for the different parameters used to evaluate the disease so that future figures for incidence and prevalence are comparable.
Editorial note: A complete list of reference is available from the publisher.
In the US over 500,000 implants are placed each year, whilst in the UK that figure was around 140,000 for 2010. The prevalence of peri-implantitis has been ...
PLYMOUTH, UK: Investigating the effect of a new approach using a combination of silver, titanium dioxide and hydroxyapatite (HA) nano-coatings on the ...
Periodontal disease is still a key area of interest in dentistry today. While, in the past, we relied on improving treatments in technical and material ...
Dr Martin Wanendeya is an award-winning implant dentist with a passion for restoring function, aesthetics and confidence for his patients. Alongside ...
Dr Bhavna Doshi is a dental practitioner and CEO of Dental Wealth Builder (DWB) which primarily focuses on strategies for practice profitability and growth....
LONDON, England: A proposed dental voucher scheme has reignited debate over the future of National Health Service (NHS) dentistry in England. The idea, set ...
LONDON, England: The current state of public health dentistry in the UK is, without question, lamentable. Plagued by financial, personnel and regulatory ...
LONDON, UK: Dentistry in the UK is “an international disgrace”, dentists from across the country have said. In a letter sent to the Daily Telegraph this...
LONDON, England: The UK dental crisis is a highly significant public health issue, having escalated in recent years owing to continued reductions in ...
LEEDS, England: As a crucial dimension of the overall oral health crisis continuing to rankle across the UK, children’s access to NHS dental care and ...
Live webinar
Sun. 3 May 2026
5:00 pm UTC (London)
Dr. Rickard Brånemark MSc, MD, PhD, Dr. Robert Gottlander DDS
Live webinar
Mon. 4 May 2026
1:00 am UTC (London)
Live webinar
Tue. 5 May 2026
3:00 pm UTC (London)
Live webinar
Tue. 5 May 2026
5:00 pm UTC (London)
Live webinar
Tue. 5 May 2026
6:00 pm UTC (London)
Dr. Maximilian Dobbertin M.Sc
Live webinar
Tue. 5 May 2026
8:00 pm UTC (London)
Live webinar
Wed. 6 May 2026
6:00 pm UTC (London)
To post a reply please login or register