Dental implants are widely accepted as a successful method for replacing missing teeth. The success of dental implant treatment depends on many factors, such as implant design, surgical technique, bone quality and patient factors. The aim of this case report is to present a step-by-step description of the implant treatment and restoration of a patient who had undergone extraction of a maxillary right first molar and second premolar, from the initial osteotomy preparation to the final restoration.
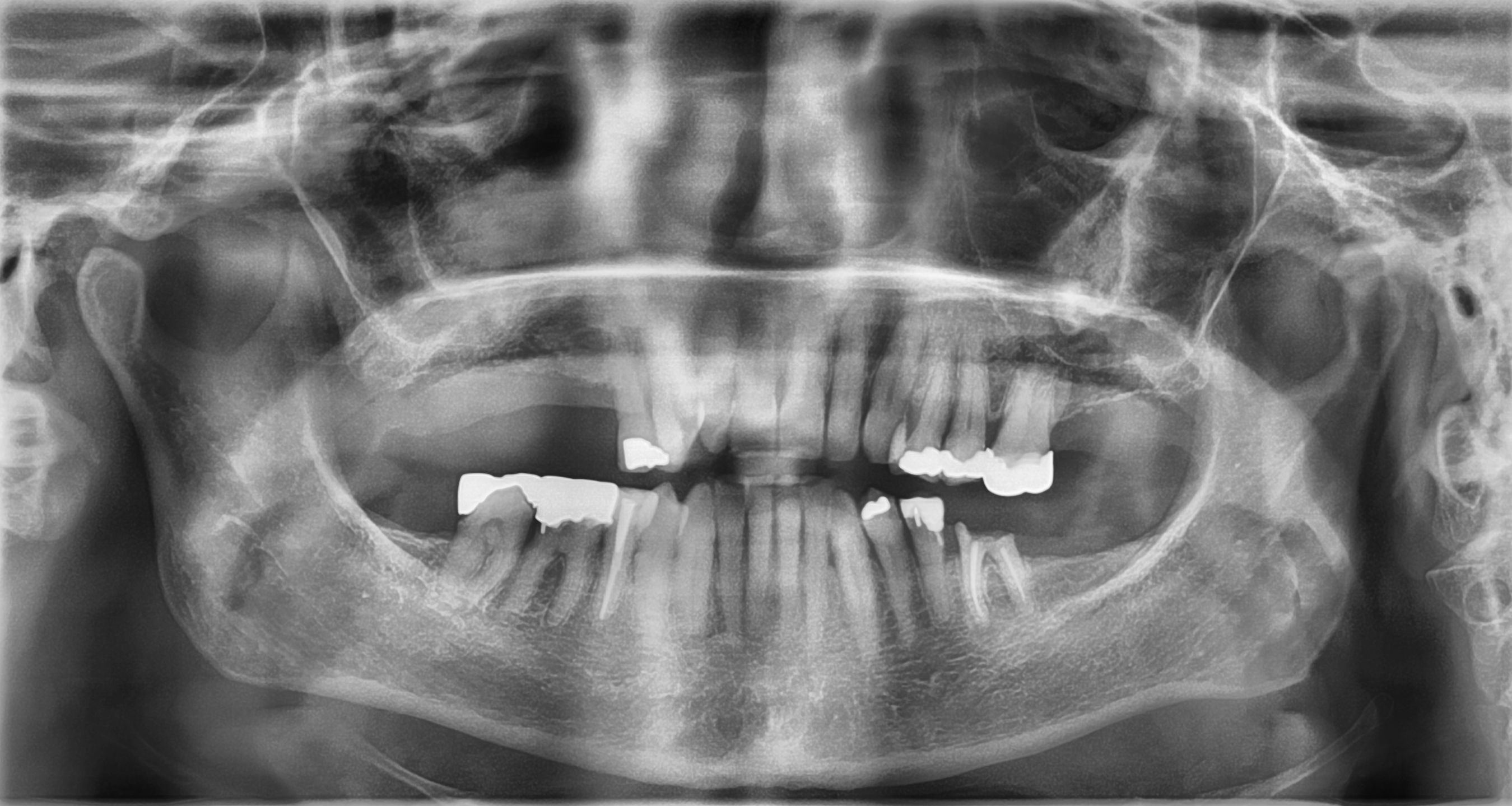
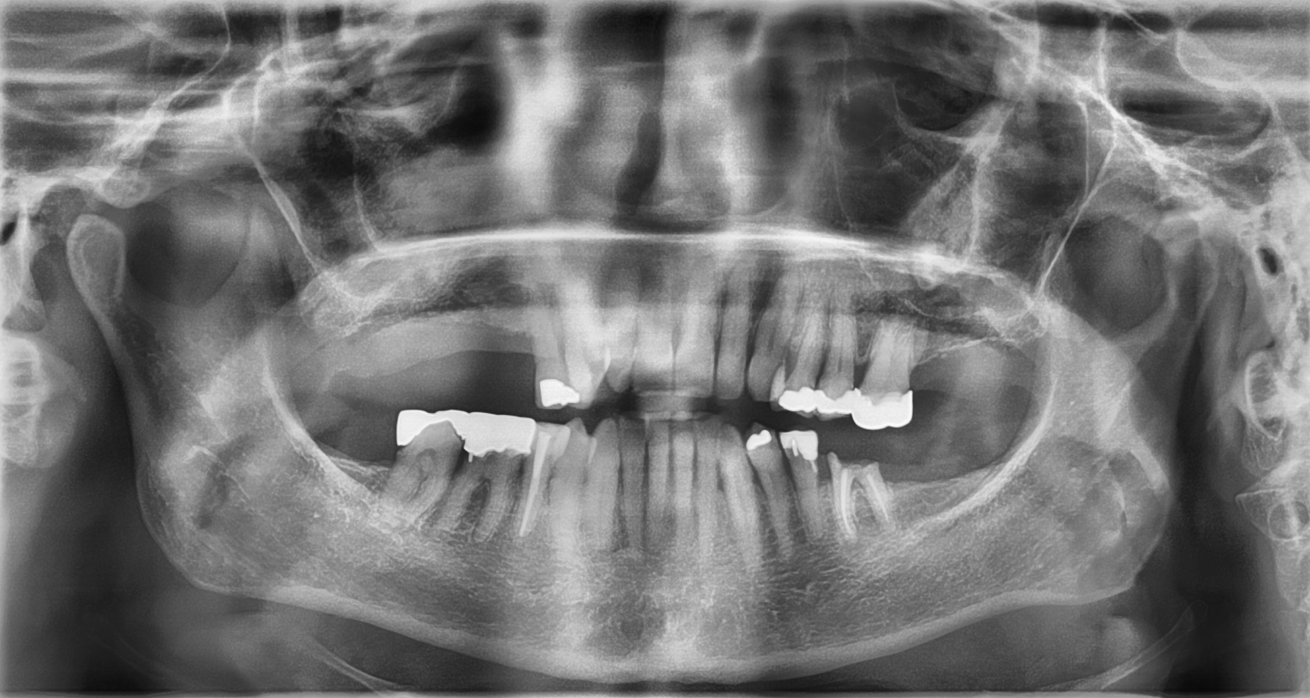
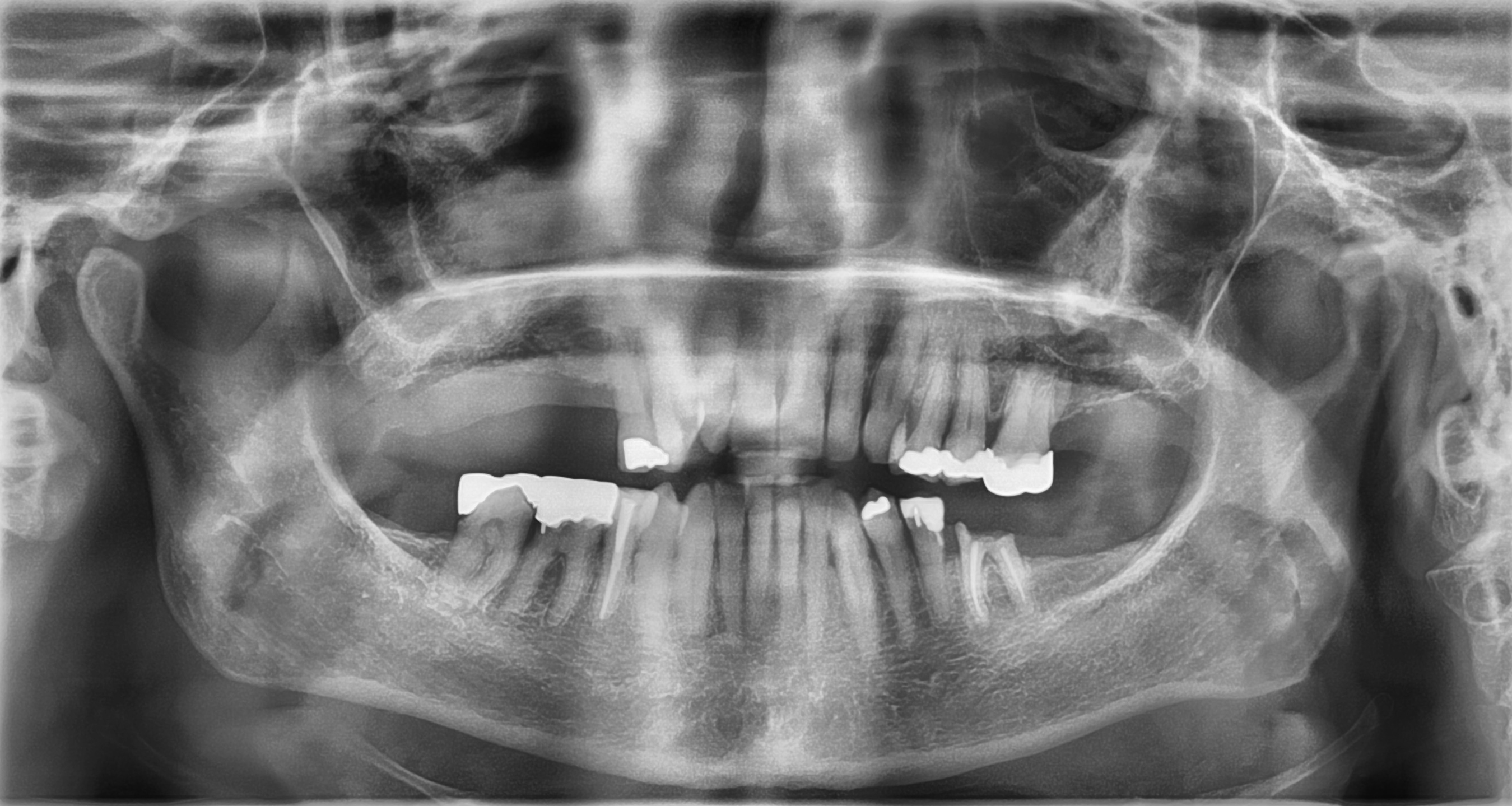
Fig. 2: Pre-op radiographic assessment.
Case presentation
A 64-year-old female patient presented to our practice with a heavily restored dentition. Her failing maxillary right first molar and second premolar had been extracted by her general dental practitioner (Fig. 1), leaving an unbounded edentulous area. Radiographic assessment indicated that there was ample bone depth in the posterior maxilla to allow for satisfactory implant placement (Fig. 2). An implant solution was provided using two individual screw-retained crowns supported by two OmniTaper EV implants (Dentsply Sirona) and using a digital workflow with Primescan and Atlantis (Dentsply Sirona).
A full-thickness envelope flap was raised with relieving incisions, and the initial small round guide drill was used to mark the implant position. The site was enlarged with OmniTaper drills of different diameters, following the recommended drilling protocol. The initial osteotomy preparation was performed with a 2mm diameter OmniTaper drill at no more than 1,500 rpm and with copious external irrigation with saline according to the surgical protocol (Fig. 3). An OmniTaper EV 3.8 × 11.0 mm implant was placed in position #15 using the TempBase driver (Fig. 4). Both OmniTaper EV implants placed with the help of the preassembled TempBase abutments nicely aligned in positions #15 and 16 (Fig. 5).
Next, the large quantity of autogenous bone collected with the disposable BoneTrap (Dentsply Sirona) during surgery was used to augment the small bone fenestration (Figs. 6 & 7), and Symbios Xenograft Granules were layered over the autogenous bone (Fig. 8). Finally, Symbios Collagen Membrane SR (15 × 20 mm) was trimmed to shape to complete the guided bone regeneration procedure (Fig. 9). The wound was closed with PGA sutures (Fig. 10), and radiographic evaluation was performed to verify the implants postoperatively (Fig. 11). Three months later, medium Healing Abutments EV were placed (Fig. 12).
Fig. 3: Full-thickness envelope ap and direction indicators after initial preparation with the 2 mm diameter OmniTaper drill.
Fig. 4: Placement of the OmniTaper EV implant in position #15 using the TempBase driver.
Fig. 5: Both OmniTaper EV implants placed with the help of the preassembled TempBase abutments nicely aligned in positions #15 and 16. Implant–abutment connection size of medium indicated in yellow.
Fig. 6: Use of the BoneTrap to augment the small bone fenestration.
Fig. 7: Large quantity of autogenous bone collected from the BoneTrap.
Fig. 8: Symbios Xenograft Granules layered over the autogenous bone.
Fig. 9: Symbios Collagen Membrane SR trimmed to shape to complete the guided bone regeneration procedure.
Fig. 10: Passive primary closure with PGA sutures.
Fig. 11: Post-op radiograph of the implants.
Fig. 12: Healing Abutments EV placed at three months after initial surgery.
A digital impression using an intra-oral scanner (Primescan) was then captured using the Atlantis IO FLO for a digital restorative workflow (Fig. 13). An Atlantis CustomBase solution, consisting of an Atlantis crown, an Atlantis abutment and an Atlantis abutment screw, was fabricated for each implant and tried in, and no adjustments were needed (Figs. 14 & 15). After seating, a radiographic evaluation was performed to verify the final restorations (Fig. 16). The final restorations showed excellent soft-tissue adaptation and an aesthetic outcome (Figs. 17 & 18). The patient was extremely satisfied with the outcome of the treatment and the fixed restorations.
Fig. 13: Atlantis IO FLOs in situ ready for the Primescan digital impression.
Fig. 14: Design of Atlantis abutments and zirconia crowns.
Fig. 15: Well-fitting screw-retained Atlantis CustomBase abutments and zirconia crowns tried in.
Fig. 16: Radiograph to verify correct seating of the restorations.
Fig. 17: Screw access holes sealed and amalgam in tooth #14 replaced with composite.
Fig. 18: Final restorations in situ.
Conclusion
This case report highlights the successful placement of OmniTaper EV implants in a patient with a heavily restored dentition. The use of an intra-oral scanner and impression components for the prosthodontic and technical digital workflow allowed for precise planning and execution of the treatment plan. The use of the OmniTaper drill system allowed for efficient and predictable placement of the implant.
CHARLOTTE, N.C., US/BRISTOL, UK: Dentsply Sirona, the world’s largest manufacturer of professional dental products and technologies, has continued its ...
A comprehensive free webinar to feature on Dentsply Sirona Academy on 22 January will delve into the intricacies of clear aligner case selection, tooth ...
A specialist in implantology, Dr Michael R. Norton has dedicated a huge part of his life to disseminating knowledge on implant dentistry by publishing ...
Seeking to bring high-quality clinical education to dental professionals, Dentsply Sirona has recently launched the online DS Academy Campus, where it ...
Education
Live webinar Mon. 20 April 2026 6:00 pm UTC (London)
To post a reply please login or register